Warehouse Overstock Promotion |  Save 10%  on Premium Lab Supplies |  Shop Now

Menu
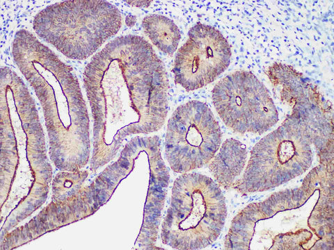
Villin Monoclonal Antibody Stored at 2~8°C

Villin Monoclonal Antibody Stored at 2~8°C

SKU: PA7091-1.5

To better serve you, we would like to discuss your specific requirement.
Please Contact Us for a quote.


-Request a Quote

Villin Monoclonal Antibody Stored at 2~8°C

 

Product Details

Host Rabbit
Reactivity Human
Applications IHC-P
Synonyms Villin
Cellular Localization Cytoplasm/cell membrane
Tissue Specificity Colon cancer
Storage The RTU should be stored at 2~8°C protecting from light (Do not freeze),Valid for 12 months.
Shipping Ice bag

 

Background

villin, a calcium-dependent actin-binding protein, is located in the intestinal epithelial cells and the brush border of the proximal renal tubular epithelium to form brush bodies. It is a specific marker of pancreatic and gastrointestinal adenocarcinomas. Almost 100% of colon adenocarcinomas, Merkel cell carcinomas, lung adenocarcinomas, ovarian carcinomas and renal carcinomas express this antigen, but breast carcinomas do not express it.

Share Share