Warehouse Overstock Promotion |  Save 10%  on Premium Lab Supplies |  Shop Now

Menu

This product has been added to the cart.

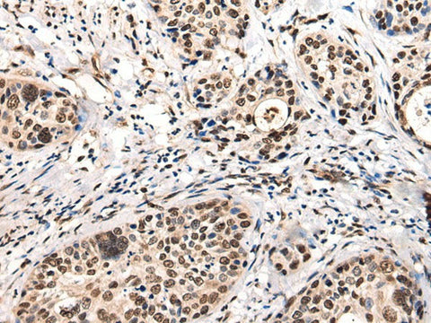
USP6NL Polyclonal Antibody Reactivity Human

SKU: E-AB-52447-200

  • $ 32895
  • Save $ 1500


Request a Quote

USP6NL Polyclonal Antibody Reactivity Human

 

SKU # E-AB-52447
Reactivity Human
Host Rabbit
Applications WB, IHC

 

Product Details

Isotype IgG
Host Rabbit
Reactivity Human
Applications WB, IHC
Clonality Polyclonal
Immunogen Fusion protein of human USP6NL
Abbre USP6NL
Synonyms KIAA0019,  RN tre,  RN-tre,  RNTRE,  Related to the N terminus of tre,  Related to the N-terminus of tre,  TRE2NL,  US6NL,  USP6 N terminal like,  USP6 N terminal like protein,  USP6 N-terminal-like protein,  USP6NL
Swissprot
Calculated MW 94 kDa
Observed MW Refer to figures
Cellular Localization Golgi apparatus. Cytoplasmic vesicle.
Concentration 0.4 mg/mL
Buffer Phosphate buffered solution, pH 7.4, containing 0.05% stabilizer and 50% glycerol.
Purification Method Antigen affinity purification
Research Areas Signal transduction
Conjugation Unconjugated
Storage Store at -20°C Valid for 12 months. Avoid freeze / thaw cycles.
Shipping The product is shipped with ice pack, upon receipt, store it immediately at the temperature recommended.

 

Related Reagents

Applications Recommended Dilution
WB 1:500-1:2000
IHC 1:25-1:100

 

Background

Acts as a GTPase-activating protein for RAB5A. Involved in receptor trafficking. In complex with EPS8 inhibits internalization of EGFR.