Warehouse Overstock Promotion |  Save 10%  on Premium Lab Supplies |  Shop Now

Menu

This product has been added to the cart.

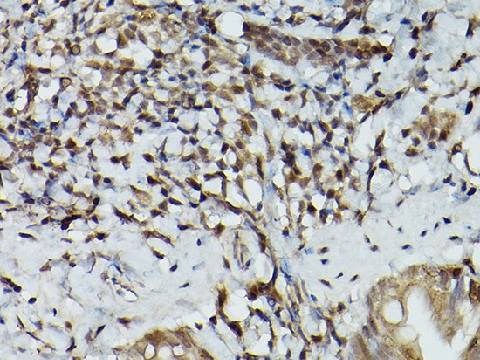
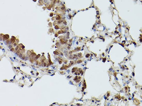
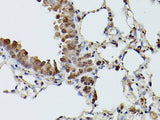
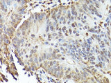
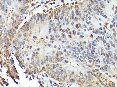
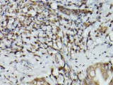
TFEB Polyclonal Antibody

SKU: E-AB-93321-200

  • $ 67795
  • Save $ 5300


Request a Quote

TFEB Polyclonal Antibody

 

SKU # E-AB-93321
Reactivity Human, Mouse, Rat
Host Rabbit
Applications WB, IHC, IF

 

Product Details

Isotype IgG
Host Rabbit
Reactivity Human, Mouse, Rat
Applications WB, IHC, IF
Clonality Polyclonal
Immunogen Recombinant fusion protein of human TFEB
Abbre TFEB
Synonyms ALPHATFEB, BHLHE35, TCFEB, TFEB
Swissprot
Calculated MW 53 kDa/54 kDa/55 kDa
Observed MW Refer to figures
Cellular Localization Mitochondrion, Mitochondrion inner membrane, Mitochondrion matrix, mitochondrion nucleoid.
Concentration 1 mg/mL
Buffer Phosphate buffered solution, pH 7.4, containing 0.05% stabilizer and 50% glycerol.
Purification Method Affinity purification
Research Areas Cancer,  Metabolism,  Signal Transduction
Conjugation Unconjugated
Storage Store at -20°C Valid for 12 months. Avoid freeze / thaw cycles.
Shipping The product is shipped with ice pack,upon receipt,store it immediately at the temperature recommended.

 

Related Reagents

Applications Recommended Dilution
WB 1:500-1:2000
IHC  1:50-1:200
IF 1:50-1:200

 

Background

This gene encodes a protein which is a member of the cysteine-aspartic acid protease (caspase) family. Sequential activation of caspases plays a central role in the execution-phase of cell apoptosis. Caspases exist as inactive proenzymes which undergo proteolytic processing at conserved aspartic residues to produce 2 subunits, large and small, that dimerize to form the active enzyme. This gene was identified by its ability to proteolytically cleave and activate the inactive precursor of interleukin-1, a cytokine involved in the processes such as inflammation, septic shock, and wound healing. This gene has been shown to induce cell apoptosis and may function in various developmental stages. Studies of a similar gene in mouse suggest a role in the pathogenesis of Huntington disease. Alternative splicing results in transcript variants encoding distinct isoforms.