Warehouse Overstock Promotion |  Save 10%  on Premium Lab Supplies |  Shop Now

Menu

This product has been added to the cart.

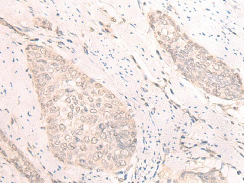
TBC1D2 Polyclonal Antibody

SKU: E-AB-52646-200

  • $ 55995
  • Save $ 4000


Request a Quote

TBC1D2 Polyclonal Antibody

 

SKU # E-AB-52646
Reactivity Human, Mouse, Rat
Host Rabbit
Applications IHC

 

Product Details

Isotype IgG
Host Rabbit
Reactivity Human, Mouse, Rat
Applications IHC
Clonality Polyclonal
Immunogen Fusion protein of human TBC1D2
Abbre TBC1D2
Synonyms member 2,  PARIS 1,  PARIS1,  PP8997,  Prostate antigen recognized and identified by SEREX,  TBC1 domain family,  TBC1D2,  TBC1D2A
Swissprot
Cellular Localization Cytoplasm, Cytoplasmic vesicle, Cell junction.
Concentration 0.84 mg/mL
Buffer Phosphate buffered solution, pH 7.4, containing 0.05% stabilizer and 50% glycerol.
Purification Method Antigen affinity purification
Research Areas Cancer,  Immunology,  Signal transduction
Conjugation Unconjugated
Storage Store at -20°C Valid for 12 months. Avoid freeze / thaw cycles.
Shipping The product is shipped with ice pack, upon receipt, store it immediately at the temperature recommended.

 

Related Reagents

Applications Recommended Dilution
IHC 1:30-1:150

 

Background

Acts as GTPase-activating protein for RAB7A. Signal effector acting as a linker between RAC1 and RAB7A, leading to RAB7A inactivation and subsequent inhibition of cadherin degradation and reduced cell-cell adhesion.