Warehouse Overstock Promotion |  Save 10%  on Premium Lab Supplies |  Shop Now

Menu

This product has been added to the cart.

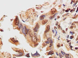
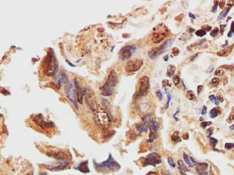
STOML2 Polyclonal Antibody Host Rabbit

SKU: E-AB-40211-200

  • $ 25895
  • Save $ 700


Request a Quote

STOML2 Polyclonal Antibody Host Rabbit

 

SKU # E-AB-40211
Reactivity Human
Host Rabbit
Applications IHC

 

Product Details

Isotype IgG
Host Rabbit
Reactivity Human
Applications IHC
Clonality Polyclonal
Immunogen Recombinant Human Stomatin-like protein 2, mitochondrial protien
Abbre STOML2
Synonyms EPB72 like protein 2,  HSPC108,  OTTHUMP00000021320,  Paraprotein target 7,  SLP 2,  STML2_HUMAN,  STOML2,  Stomatin (EPB72) like 2,  Stomatin like 2,  Stomatin like protein 2,  mitochondrial
Swissprot
Cellular Localization Membrane, Cytoplasm.
Concentration 1 mg/mL
Buffer PBS with 0.05% proclin 300, 1% protective protein and 50% glycerol,pH7.4
Purification Method Antigen Affinity Purification
Research Areas Cancer
Conjugation Unconjugated
Storage Store at -20°C Valid for 12 months. Avoid freeze / thaw cycles.
Shipping The product is shipped with ice pack, upon receipt, store it immediately at the temperature recommended.

 

Related Reagents

Applications Recommended Dilution
IHC 1:100-1:400

 

Background

Human stomatin (band 7.2b) is a 31-kDa erythrocyte membrane protein of unknown function but implicated in the control of ion channel permeability,mechanoreception,and lipid domain organization. Stomatin (EPB72)-like 2 (STOML2,synonyms: SLP-2,HSPC108) is a 38.5-kDa protein that is overall approximately 20% similar to human stomatin. STOML2 is also present in mature human erythrocytes ,but lacks a characteristic NH(2)-terminal hydrophobic domain found in other stomatin homologues. STOML2 may link stomatin or other integral membrane proteins to the peripheral cytoskeleton and thereby play a role in regulating ion channel conductances or the organization of sphingolipid and cholesterol-rich lipid rafts.