Warehouse Overstock Promotion |  Save 10%  on Premium Lab Supplies |  Shop Now

Menu

This product has been added to the cart.

STAT6 Polyclonal Antibody Store at -20°C

SKU: E-AB-10059-200

  • $ 12195
  • Save $ 2200


Request a Quote

STAT6 Polyclonal Antibody Store at -20°C

 

SKU # E-AB-10059
Reactivity Human, Mouse
Host Rabbit
Applications WB

 

Product Details

Isotype IgG
Host Rabbit
Reactivity Human,  Mouse
Applications WB
Clonality Polyclonal
Immunogen Recombinant protein of human STAT6
Abbre STAT6
Synonyms 12S1644,  D12S1644,  IL 4 STAT,  IL-4 Stat,  IL4 STAT,  Interleukin 4 Induced,  Interleukin 4 Induced Transcription Factor IL4 STAT,  Signal Tran,  Signal Transducer And Activator Of Transcription 6 Interleukin 4 Induced,  Signal transducer and activator of transcription 6
Swissprot
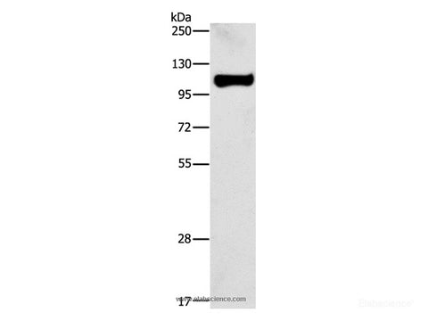
Calculated MW 94 kDa
Cellular Localization Cytoplasm. Nucleus. Translocated into the nucleus in response to phosphorylation.
Concentration 0.2 mg/mL
Buffer Phosphate buffered solution, pH 7.4, containing 0.05% stabilizer and 50% glycerol.
Purification Method Affinity purification
Research Areas Cancer,  Epigenetics and Nuclear Signaling,  Signal Transduction
Conjugation Unconjugated
Storage Store at -20°C Valid for 12 months. Avoid freeze / thaw cycles.
Shipping The product is shipped with ice pack,upon receipt,store it immediately at the temperature recommended.

 

Related Reagents

Applications Recommended Dilution
WB 1:500-1:2000

 

Background

The protein encoded by this gene is a member of the STAT family of transcription factors. In response to cytokines and growth factors, STAT family members are phosphorylated by the receptor associated kinases, and then form homo- or heterodimers that translocate to the cell nucleus where they act as transcription activators. This protein plays a central role in exerting IL4 mediated biological responses. It is found to induce the expression of BCL2L1/BCL-X(L), which is responsible for the anti-apoptotic activity of IL4. Knockout studies in mice suggested the roles of this gene in differentiation of T helper 2 (Th2) cells, expression of cell surface markers, and class switch of immunoglobulins. Alternative splicing results in multiple transcript variants.