Warehouse Overstock Promotion |  Save 10%  on Premium Lab Supplies |  Shop Now

Menu

This product has been added to the cart.

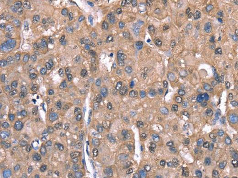
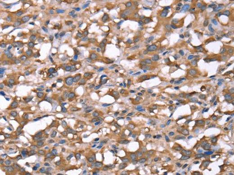
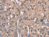
SPAST Polyclonal Antibody Store at -20°C

SKU: E-AB-16442-200

  • $ 26595
  • Save $ 800


Request a Quote

SPAST Polyclonal Antibody Store at -20°C

 

SKU # E-AB-16442
Reactivity Human, Mouse, Rat
Host Rabbit
Applications IHC

 

Product Details

Isotype IgG
Host Rabbit
Reactivity Human, Mouse, Rat
Applications IHC
Clonality Polyclonal
Immunogen Synthetic peptide of human SPAST
Abbre SPAST
Synonyms ADPSP,  FSP 2,  FSP2,  KIAA1083,  SPG 4,  SPG4,  SPG4 gene,  Spast,  Spastic paraplegia 4,  spastic paraplegia 4 (autosomal dominant,  spastin,  spastin)
Swissprot
Cellular Localization Cytoplasm, Cytoskeleton, Endoplasmic reticulum, Endosome, Membrane, Microtubule, Nucleus.
Concentration 0.6 mg/mL
Buffer Phosphate buffered solution, pH 7.4, containing 0.05% stabilizer and 50% glycerol.
Purification Method Affinity purification
Research Areas Cancer, Metabolism, Signal transduction
Conjugation Unconjugated
Storage Store at -20°C Valid for 12 months. Avoid freeze / thaw cycles.
Shipping The product is shipped with ice pack,upon receipt,store it immediately at the temperature recommended.

 

Related Reagents

Applications Recommended Dilution
IHC 1:50-1:200

 

Background

This gene encodes a member of the AAA (ATPases associated with a variety of cellular activities) protein family.Members of this protein family share an ATPase domain and have roles in diverse cellular processes including membrane trafficking, intracellular motility, organelle biogenesis, protein folding, and proteolysis.The encoded ATPase may be involved in the assembly or function of nuclear protein complexes.Two transcript variants encoding distinct isoforms have been identified for this gene.Other alternative splice variants have been described but their full length sequences have not been determined.Mutations associated with this gene cause the most frequent form of autosomal dominant spastic paraplegia 4.