Warehouse Overstock Promotion |  Save 10%  on Premium Lab Supplies |  Shop Now

Menu

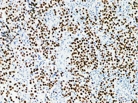
SALL4 Monoclonal Antibody Stored at 2~8°C

SKU: PA6681-1.5

To better serve you, we would like to discuss your specific requirement.
Please Contact Us for a quote.


-Request a Quote

SALL4 Monoclonal Antibody Stored at 2~8°C

 

Product Details

Host Mouse
Reactivity Human
Applications IHC-P
Synonyms SALL4
Cellular Localization nucleus
Tissue Specificity testis
Storage The RTU should be stored at 2~8°C protecting from light (Do not freeze),Valid for 12 months.
Shipping Ice bag

 

Background

SALL4 gene is responsible for regulating the self-renewal of embryonic stem cells and is a key gene in many tumors. SALL4 is a kind of carcinoembryonic protein. Studies show that SALL4 is a sensitive and specific marker of seminoma and ovarian primordial germ cell tumor, and also a marker of invasive hepatocarcinoid subtype. SALL4 can be used as a potential target for targeted treatment of hepatocarcinoid.

Share Share