Warehouse Overstock Promotion |  Save 10%  on Premium Lab Supplies |  Shop Now

Menu

This product has been added to the cart.

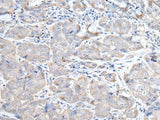
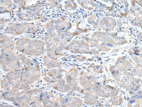
RASA1 Polyclonal Antibody Reactivity Human

SKU: E-AB-52205-200

  • $ 26595
  • Save $ 800


Request a Quote

RASA1 Polyclonal Antibody Reactivity Human

 

SKU # E-AB-52205
Reactivity Human, Rat
Host Rabbit
Applications IHC

 

Product Details

Isotype IgG
Host Rabbit
Reactivity Human, Rat
Applications IHC
Clonality Polyclonal
Immunogen Fusion protein of human RASA1
Abbre RASA1
Synonyms CM AVM,  CMAVM,  DKFZp434N071,  GAP,  GTPase activating protein,  GTPase-activating protein,  OTTHUMP00000222390,  OTTHUMP00000222391,  OTTHUMP00000222392,  OTTHUMP00000222393,  PKWS,  RAS p21 protein activator (GTPase activat,  Ras GTPase-activating protein 1,  p120GAP,  p120RASGAP
Swissprot
Cellular Localization Cytoplasm.
Concentration 0.6 mg/mL
Buffer Phosphate buffered solution, pH 7.4, containing 0.05% stabilizer and 50% glycerol.
Purification Method Antigen affinity purification
Research Areas Cancer,  Signal transduction
Conjugation Unconjugated
Storage Store at -20°C Valid for 12 months. Avoid freeze / thaw cycles.
Shipping The product is shipped with ice pack,upon receipt,store it immediately at the temperature recommended.

 

Related Reagents

Applications Recommended Dilution
IHC 1:30-1:150

 

Background

The protein encoded by this gene is located in the cytoplasm and is part of the GAP1 family of GTPase-activating proteins. The gene product stimulates the GTPase activity of normal RAS p21 but not its oncogenic counterpart. Acting as a suppressor of RAS function, the protein enhances the weak intrinsic GTPase activity of RAS proteins resulting in the inactive GDP-bound form of RAS, thereby allowing control of cellular proliferation and differentiation. Mutations leading to changes in the binding sites of either protein are associated with basal cell carcinomas. Mutations also have been associated with hereditary capillary malformations (CM) with or without arteriovenous malformations (AVM) and Parkes Weber syndrome. Alternative splicing results in two isoforms where the shorter isoform, lacking the N-terminal hydrophobic region but retaining the same activity, appears to be abundantly expressed in placental but not adult tissues.