Warehouse Overstock Promotion |  Save 10%  on Premium Lab Supplies |  Shop Now

Menu

This product has been added to the cart.

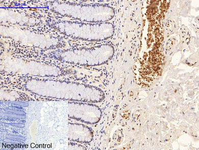
Phospho-P38 (Thr180/Tyr182) Polyclonal Antibody

SKU: E-AB-21027-200

  • $ 32895
  • Save $ 1500


Request a Quote

Phospho-P38 (Thr180/Tyr182) Polyclonal Antibody

 

SKU # E-AB-21027
Reactivity Human,  Mouse,  Rat
Host Rabbit
Applications WB,  IHC-p,  IF

 

Product Details

Isotype IgG
Host Rabbit
Reactivity Human,  Mouse,  Rat
Applications WB,  IHC-p,  IF
Clonality Polyclonal
Immunogen Synthesized peptide derived from human p38 around the phosphorylation site of Thr180/Tyr182
Abbre p38 (phospho Thr180/Tyr182)
Synonyms CSAID Binding Protein 1,  CSAID binding protein,  CSAID-binding protein,  CSBP,  CSBP 1,  CSBP 2,  CSBP1,  CSBP2,  CSPB1,  Csaids binding protein,  Cytokine suppressive anti-inflammatory drug-binding protein,  EXIP,  MAP,  MAP kinase 14,  MAP kinase MXI2,  MAP kinase p38 alpha,  MAPK 14
Swissprot
Calculated MW 41 kDa
Observed MW 38 kDa
Cellular Localization Cytoplasm. Nucleus.
Tissue Specificity Brain, heart, placenta, pancreas and skeletal muscle. Expressed to a lesser extent in lung, liver and kidney.
Concentration 1 mg/mL
Buffer Phosphate buffered solution, pH 7.4, containing 0.05% stabilizer, 0.5% protein protectant and 50% glycerol.
Purification Method Affinity purification
Research Areas Cancer,  Immunology,  Signal Transduction
Conjugation Unconjugated
Storage Store at -20°C Valid for 12 months. Avoid freeze / thaw cycles.
Shipping The product is shipped with ice pack,upon receipt,store it immediately at the temperature recommended.

 

Related Reagents

Applications Recommended Dilution
WB 1:500-1:2000
IHC 1:100-1:300
IF 1:50-1:200

 

Background   

MAPK14(mitogen-activated protein kinase 14) is also named as SAPK2A,p38MAPK,CSBP1,RK,p38,EXIP,Mxi2,CSBP2,PRKM14,PRKM15,CSPB1,p38ALPHA and belongs to the MAP kinase subfamily. MAPK14-signaling is a central pathway for the integration of instructive signals in dendritic cells for T(H)17 differentiation and inflammation(PMID:22231518). It plays an important role in the regulation of hematopoietic stem cellself-renewal in vitro and inhibition of MAPK14 activation with a small molecule inhibitor may represent a novel approach to promote ex vivo expansion of hematopoietic stem cell(PMID:21198398). This protein has 4 isoforms produced by alternative splicing.