Warehouse Overstock Promotion |  Save 10%  on Premium Lab Supplies |  Shop Now

Menu

This product has been added to the cart.

Phospho-GSK3 Beta (Ser9) Polyclonal Antibody

SKU: E-AB-20886-200

  • $ 26595
  • Save $ 800


Request a Quote

Phospho-GSK3 Beta (Ser9) Polyclonal Antibody

 

SKU # E-AB-20886
Reactivity Human,  Mouse,  Rat
Host Rabbit
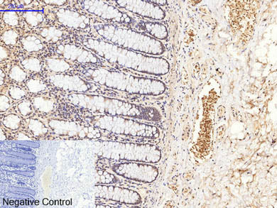
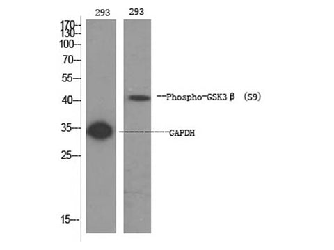
Applications WB,  IHC-p,  IF

 

Product Details

Isotype IgG
Host Rabbit
Reactivity Human,  Mouse,  Rat
Applications WB,  IHC-p,  IF
Clonality Polyclonal
Immunogen Synthesized peptide derived from human GSK3β around the phosphorylation site of Ser9
Synonyms GSK 3 beta,  GSK-3 beta,  GSK3B,  GSK3beta isoform,  Glycogen Synthase Kinase 3 Beta,  Glycogen synthase kinase-3 beta,  Serine/threonine-protein kinase GSK3B
Swissprot
Calculated MW 47 kDa
Observed MW 48 kDa
Cellular Localization Cytoplasm. Nucleus. Cell membrane. The phosphorylated form shows localization to cytoplasm and cell membrane. The MEMO1-RHOA-DIAPH1 signaling pathway controls localization of the phosophorylated form to the cell membrane.
Tissue Specificity Expressed in testis, thymus, prostate and ovary and weakly expressed in lung, brain and kidney.
Concentration 1 mg/mL
Buffer Phosphate buffered solution, pH 7.4, containing 0.05% stabilizer, 0.5% protein protectant and 50% glycerol.
Purification Method Affinity purification
Research Areas Cancer,  Cardiovascular,  Metabolism,  Neuroscience,  Signal Transduction,  Stem Cells
Conjugation Unconjugated
Storage Store at -20°C Valid for 12 months. Avoid freeze / thaw cycles.
Shipping The product is shipped with ice pack,upon receipt,store it immediately at the temperature recommended.

 

Related Reagents

Applications Recommended Dilution
WB 1:500-1:2000
IHC 1:100-1:300
IF 1:100-1:300

 

Background   

Participates in the Wnt signaling pathway. Implicated in the hormonal control of several regulatory proteins including glycogen synthase, MYB and the transcription factor JUN. Phosphorylates JUN at sites proximal to its DNA-binding domain, thereby reducing its affinity for DNA. Phosphorylates MUC1 in breast cancer cells, and decreases the interaction of MUC1 with CTNNB1/beta-catenin. Phosphorylates CTNNB1/beta-catenin. Phosphorylates SNAI1. Plays an important role in ERBB2-dependent stabilization of microtubules at the cell cortex. Prevents the phosphorylation of APC and CLASP2, allowing its association with the cell membrane. In turn, membrane-bound APC allows the localization of MACF1 to the cell membrane, which is required for microtubule capture and stabilization. Phosphorylates MACF1 and this phosphorylation inhibits the binding of MACF1 to microtubules which is critical for its role in bulge stem cell migration and skin wound repair.