Warehouse Overstock Promotion |  Save 10%  on Premium Lab Supplies |  Shop Now

Menu

This product has been added to the cart.

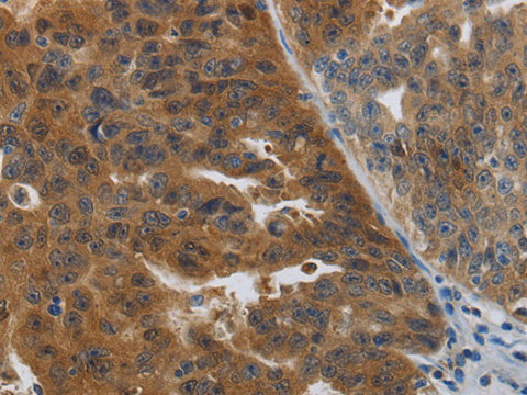
PDCD2 Polyclonal Antibody Store at -20°C

SKU: E-AB-12836-200

  • $ 26595
  • Save $ 800


Request a Quote

PDCD2 Polyclonal Antibody Store at -20°C

 

SKU # E-AB-12836
Reactivity Human, Mouse, Rat
Host Rabbit
Applications IHC

 

Product Details

Isotype IgG
Host Rabbit
Reactivity Human, Mouse, Rat
Applications IHC
Clonality Polyclonal
Immunogen Synthetic peptide of human PDCD2
Abbre PDCD2
Synonyms MGC12347,  OTTHUMP00000017702,  PDCD 2,  PDCD2,  PDCD2 protein,  Pdcd2,  Programmed cell death 2,  Programmed cell death protein 2,  RP 8,  RP8,  Rp8 homolog,  Zi,  Zinc finger MYND domain containing protein 7,  Zinc finger MYND domain-containing protein 7,  Zinc finger protein Rp 8
Swissprot
Cellular Localization Nucleus.
Concentration 0.5 mg/mL
Buffer Phosphate buffered solution, pH 7.4, containing 0.05% stabilizer and 50% glycerol.
Purification Method Affinity purification
Research Areas Cancer,  Cell Biology,  Epigenetics and Nuclear Signaling,  Metabolism
Conjugation Unconjugated
Storage Store at -20°C Valid for 12 months. Avoid freeze / thaw cycles.
Shipping The product is shipped with ice pack,upon receipt,store it immediately at the temperature recommended.

 

Related Reagents

Applications Recommended Dilution
IHC 1:50-1:200

 

Background

This gene encodes a nuclear protein expressed in a variety of tissues. Expression of this gene has been shown to be repressed by B-cell CLL/lymphoma 6 (BCL6), a transcriptional repressor required for lymph node germinal center development, suggesting that BCL6 regulates apoptosis by its effects on this protein. Alternative splicing results in multiple transcript variants and pseudogenes have been identified on chromosomes 9 and 12.