Warehouse Overstock Promotion |  Save 10%  on Premium Lab Supplies |  Shop Now

Menu

This product has been added to the cart.

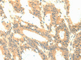
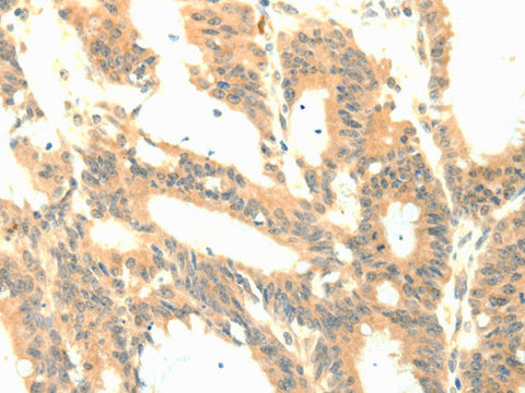
P23 Polyclonal Antibody Store at -20°C

SKU: E-AB-14420-200

  • $ 55995
  • Save $ 4000


Request a Quote

P23 Polyclonal Antibody Store at -20°C

 

SKU # E-AB-14420
Reactivity Human,  Mouse,  Rat
Host Rabbit
Applications IHC

 

Product Details

Isotype IgG
Host Rabbit
Reactivity Human,  Mouse,  Rat
Applications IHC
Clonality Polyclonal
Immunogen Recombinant protein of human PTGES3
Abbre PTGES3
Synonyms Co chaperone p23,  Cytosolic prostaglandin E synthase,  Cytosolic prostaglandin E2 synthase,  Hsp90 co chaperone,  Hsp90 co-chaperone,  P23,  Progesterone receptor complex,  Progesterone receptor complex p23,  Prostaglandin E ,  Prostaglandin E synthase 3 (cytosolic),  cPGES
Swissprot
Cellular Localization Cytoplasm.
Concentration 0.4 mg/mL
Buffer Phosphate buffered solution, pH 7.4, containing 0.05% stabilizer and 50% glycerol.
Purification Method Affinity purification
Research Areas Cancer,  Epigenetics and Nuclear Signaling,  Metabolism,  Signal Transduction
Conjugation Unconjugated
Storage Store at -20°C Valid for 12 months. Avoid freeze / thaw cycles.
Shipping The product is shipped with ice pack,upon receipt,store it immediately at the temperature recommended.

 

Related Reagents

Applications Recommended Dilution
IHC 1:50-1:200

 

Background

Prostaglandin E synthase 3 (cytosolic) is an enzyme that in humans is encoded by the PTGES3 gene.The protein encoded by this gene is also known as p23 which functions as a chaperone which is required for proper functioning of the glucocorticoid and other steroid receptors.Molecular chaperone that localizes to genomic response elements in a hormone-dependent manner and disrupts receptor-mediated transcriptional activation, by promoting disassembly of transcriptional regulatory complexes.