Warehouse Overstock Promotion |  Save 10%  on Premium Lab Supplies |  Shop Now

Menu

This product has been added to the cart.

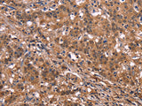
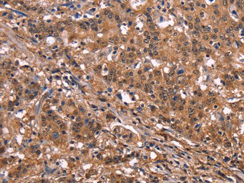
NOS2 Polyclonal Antibody Store at -20°C

SKU: E-AB-10495-200

  • $ 33995
  • Save $ 6000


Request a Quote

NOS2 Polyclonal Antibody Store at -20°C

 

SKU # E-AB-10495
Reactivity Human
Host Rabbit
Applications IHC

 

Product Details

Isotype IgG
Host Rabbit
Reactivity Human
Applications IHC
Clonality Polyclonal
Immunogen Recombinant protein of human NOS2
Abbre NOS2
Synonyms HEP-NOS,  HEPNOS,  Hepatocyte NOS,  Inducible NO synthase,  Inducible NOS,  Inducible nitric oxide synthase,  MAC NOS,  Macrophage NOS,  Nitric oxide synthase 2 inducible,  Nitric oxide synthase 2 inducible macrophage,  hepa,  iNOS,  inducible,  nitric oxide synthase 2A (inducible
Swissprot
Cellular Localization Cytoskeleton, cortical cytoskeleton, Cytosol, Nucleus, Peroxisome, peroxisome, Other locations: cytoplasm, intracellular, perinuclear region of cytoplasm.
Concentration 0.3 mg/mL
Buffer Phosphate buffered solution, pH 7.4, containing 0.05% stabilizer and 50% glycerol.
Purification Method Affinity purification
Research Areas Cancer,  Metabolism,  Neuroscience
Conjugation Unconjugated
Storage Store at -20°C Valid for 12 months. Avoid freeze / thaw cycles.
Shipping The product is shipped with ice pack,upon receipt,store it immediately at the temperature recommended.

 

Related Reagents

Applications Recommended Dilution
IHC 1:100-1:300

 

Background

Nitric oxide is a reactive free radical which acts as a biologic mediator in several processes, including neurotransmission and antimicrobial and antitumoral activities. This gene encodes a nitric oxide synthase which is expressed in liver and is inducible by a combination of lipopolysaccharide and certain cytokines. Three related pseudogenes are located within the Smith-Magenis syndrome region on chromosome 17.