Warehouse Overstock Promotion |  Save 10%  on Premium Lab Supplies |  Shop Now

Menu

This product has been added to the cart.

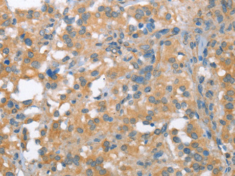
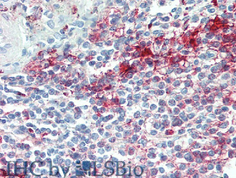
NLRP7 Polyclonal Antibody Store at -20°C

SKU: E-AB-13071-200

  • $ 55995
  • Save $ 4000


Request a Quote

NLRP7 Polyclonal Antibody Store at -20°C

 

SKU # E-AB-13071
Reactivity Human
Host Rabbit
Applications IHC

 

Product Details

Isotype IgG
Host Rabbit
Reactivity Human
Applications IHC
Clonality Polyclonal
Immunogen Synthetic peptide of human NLRP7
Abbre NLRP7
Synonyms CLR19.4,  FLJ94610,  HYDM,  LRR and PYD containing protein 7,  LRR and PYD domains containing protein 7,  LRR and PYD domains-containing protein 7,  MGC126470,  MGC126471,  NACHT,  NALP7,  NLR family,  leucine rich repeat and PYD containing 7,  pyrin doma
Swissprot
Concentration 0.3 mg/mL
Buffer Phosphate buffered solution, pH 7.4, containing 0.05% stabilizer and 50% glycerol.
Purification Method Affinity purification
Research Areas Cell Biology, Immunology
Conjugation Unconjugated
Storage Store at -20°C Valid for 12 months. Avoid freeze / thaw cycles.
Shipping The product is shipped with ice pack, upon receipt, store it immediately at the temperature recommended.

 

Related Reagents

Applications Recommended Dilution
IHC 1:50-1:200

 

Background

This gene encodes a member of the NACHT, leucine rich repeat, and PYD containing (NLRP) protein family. It has an N-terminal pyrin domain, followed by a NACHT domain, a NACHT-associated domain (NAD), and a C-terminal leucine-rich repeat (LRR) region. NLRP proteins are implicated in the activation of proinflammatory caspases through multiprotein complexes called inflammasomes. This gene may act as a feedback regulator of caspase-1-dependent interleukin 1-beta secretion. Alternative splicing results in multiple transcript variants encoding different isoforms.