Warehouse Overstock Promotion |  Save 10%  on Premium Lab Supplies |  Shop Now

Menu

This product has been added to the cart.

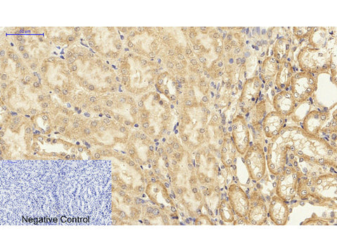
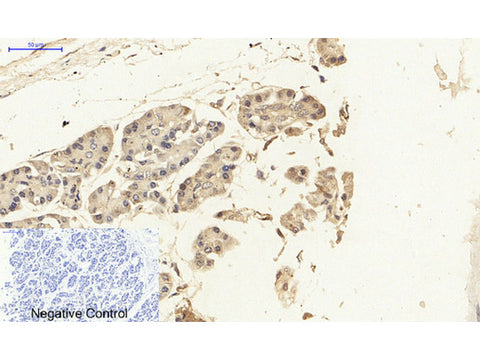
NFκB-p65 Polyclonal Antibody Host Rabbit

SKU: E-AB-32233-200

  • $ 55995
  • Save $ 4000


Request a Quote

NFκB-p65 Polyclonal Antibody Host Rabbit

 

SKU # E-AB-32233
Reactivity Human, Mouse, Rat
Host Rabbit
Applications WB, IHC-p

 

Product Details

Isotype IgG
Host Rabbit
Reactivity Human, Mouse, Rat
Applications WB, IHC-p
Clonality Polyclonal
Immunogen Synthesized peptide derived from human NFκB-p65 around the non-phosphorylation site of Ser281.
Abbre NFκB-p65
Synonyms Avian reticuloendotheliosis viral (v rel) oncogene homolog A,  MGC131774,  NF kappa B p65delta3,  NFKB3,  Nuclear Factor NF Kappa B p65 Subunit,  Nuclear fact,  Nuclear factor NF-kappa-B p65 subunit,  Nuclear factor of kappa light polypeptide gene enhancer in B cells 3
Swissprot
Calculated MW 60 kDa
Observed MW 60 kDa

Cellular Localization Nucleus. Cytoplasm. Nuclear, but also found in the cytoplasm in an inactive form complexed to an inhibitor (I-kappa-B). Colocalized with RELA in the nucleus upon TNF-alpha induction.
Concentration 1 mg/mL
Buffer Phosphate buffered solution, pH 7.4, containing 0.05% stabilizer, 0.5% protein protectant and 50% glycerol.
Purification Method Affinity purification
Research Areas Cancer,  Cell Biology,  Cardiovascular,  Epigenetics and Nuclear Signaling,  Metabolism,  Microbiology,  Neuroscience,  Signal Transduction
Conjugation Unconjugated
Storage Store at -20°C Valid for 12 months. Avoid freeze / thaw cycles.
Shipping The product is shipped with ice pack, upon receipt, store it immediately at the temperature recommended.

 

Related Reagents

Applications Recommended Dilution
WB 1:500-1:2000
IHC 1:100-1:300

 

Background

Proteins encoded by the v-Rel viral oncogene and its cellular homolog, c-Rel,are members of a family of transcription factors that include the two subunits of the transcription factor NFκB (p50 and p65) and the Drosophila maternal morphogen, dorsal. Both proteins specifically bind to DNA sequences that are the same or slight variations of the 10 bp κB sequence in the immunoglobulin κ light chain enhancer. This same sequence is also present in a number of other cellular and viral enhancers. The DNA binding activity of NFκB is activated and NFκB is subsequently transported from the cytoplasm to the nucleus in cells exposed to mitogens or growth factors. cDNAs encoding precursors for two distinct proteins of the same size have been described, designated p105 and p100. The p105 precursor contains p50 at its N-terminus and a C-terminal region that when expressed as a separate molecule, designated pdI, binds to p50 and regulates its activity.