Warehouse Overstock Promotion |  Save 10%  on Premium Lab Supplies |  Shop Now

Menu

This product has been added to the cart.

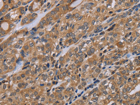
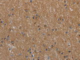
NAA25 Polyclonal Antibody Store at -20°C

SKU: E-AB-13439-200

  • $ 41695
  • Save $ 2400


Request a Quote

NAA25 Polyclonal Antibody Store at -20°C

 

SKU # E-AB-13439
Reactivity Human
Host Rabbit
Applications IHC

 

Product Details

Isotype IgG
Host Rabbit
Reactivity Human
Applications IHC
Clonality Polyclonal
Immunogen Synthetic peptide of human NAA25
Abbre NAA25
Synonyms C12orf30,  DKFZp667K2112,  FLJ1308,  MDM20,  Mitochondrial distribution and morphology 20,  Mitochondrial distribution and morphology protein 20,  N(alpha)-acetyltransferase 25,  N-alpha-acetyltransferase 25,  N-terminal acet,  NatB auxiliary subunit
Swissprot
Cellular Localization Cytoplasm.
Concentration 0.9 mg/mL
Buffer Phosphate buffered solution, pH 7.4, containing 0.05% stabilizer and 50% glycerol.
Purification Method Affinity purification
Research Areas Epigenetics and Nuclear Signaling
Conjugation Unconjugated
Storage Store at -20°C Valid for 12 months. Avoid freeze / thaw cycles.
Shipping The product is shipped with ice pack, upon receipt, store it immediately at the temperature recommended.

 

Related Reagents

Applications Recommended Dilution
IHC 1:50-1:200

 

Background

This gene encodes the auxiliary subunit of the heteromeric N-terminal acetyltransferase B complex. This complex acetylates methionine residues that are followed by acidic or asparagine residues. different isoforms have been found for this gene.