Warehouse Overstock Promotion |  Save 10%  on Premium Lab Supplies |  Shop Now

Menu

This product has been added to the cart.

MUM1 Monoclonal Antibody Stored at 2~8°C

MUM1 Monoclonal Antibody Stored at 2~8°C

SKU: PA6936-1.5

  • $ 18795
  • Save $ 2300


Request a Quote

MUM1 Monoclonal Antibody Stored at 2~8°C

 

Product Details

Host Mouse
Reactivity Human
Applications IHC-P
Synonyms MUM1
Cellular Localization nucleus
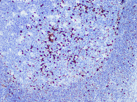
Tissue Specificity Tonsil
Storage The RTU should be stored at 2~8°C protecting from light (Do not freeze),Valid for 12 months.
Shipping Ice bag

 

Background

MUM1, also known as interferon regulatory factor 4 (IRF4), is a 51.6KDa nuclear transcription factor required for the development and activation of B lymphocytes. MUM-1 antibody is expressed in the nucleus and cytoplasm of plasma cells, as well as in a small subset of B cells located in the bright zone of the germinal center, as well as labeling central cells and their progeny, plasma cells, activated T cells, and a wide range of hemolymphoid tumors derived from these cells. At present, this antibody can be used as a tool for the identification and subclassification of lymphoid malignancies.