Warehouse Overstock Promotion |  Save 10%  on Premium Lab Supplies |  Shop Now

Menu

This product has been added to the cart.

MAP2K2 Monoclonal Antibody

SKU: E-AB-22162-200

  • $ 32895
  • Save $ 1500


Request a Quote

MAP2K2 Monoclonal Antibody

 

SKU # E-AB-22162
Reactivity Human,  Mouse,  Rat
Host Mouse
Applications WB

 

Product Details

Isotype IgG
Host Mouse
Reactivity Human,  Mouse,  Rat
Applications WB
Clonality Monoclonal
Immunogen Synthesized peptide derived from human MEK-2 around the non-phosphorylation site of T394.
Abbre MEK2
Synonyms CFC syndrome,  CFC4,  Cardiofaciocutaneous syndrome,  Dual specificity mitogen activated protein kinase kinase 2,  Dual specificity mitogen-activated protein kinase kinase 2,  ERK activator kinase 2,  FLJ26075,  MAP kinase kinase 2,  MAPK / ERK kinase 2,  MAPK/ERK k,  map2k2
Swissprot
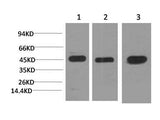
Observed MW 45 kDa
Cellular Localization Cytoskeleton, microtubule, Cytosol, Endoplasmic reticulum, endoplasmic reticulum, Endosome, early endosome, late endosome, Extracellular region or secreted, extracellular region, Golgi apparatus, Golgi apparatus, Mitochondrion, Nucleus, Peroxisome, peroxisomal membrane, Plasma Membrane, cytoplasmic side of Plasma Membrane, Other locations: cell-cell junction, focal adhesion, perinuclear region of cytoplasm.
Concentration 1 mg/mL
Buffer Phosphate buffered solution, pH 7.4, containing 0.05% stabilizer, 0.5% protein protectant and 50% glycerol.
Purification Method Protein A purification
Research Areas Cancer,  Signal Transduction
Clone No. 2C3
Conjugation Unconjugated
Storage Store at -20°C Valid for 12 months. Avoid freeze / thaw cycles.
Shipping The product is shipped with ice pack,upon receipt,store it immediately at the temperature recommended.

 

Related Reagents

Applications Recommended Dilution
WB  1:500-1:2000
IHC 1:100-1:300
IP 1:200-1:500

 

Background

The protein encoded by this gene is a dual specificity protein kinase that belongs to the MAP kinase kinase family. This kinase is known to play a critical role in mitogen growth factor signal transduction. It phosphorylates and thus activates MAPK1/ERK2 and MAPK2/ERK3. The activation of this kinase itself is dependent on the Ser/Thr phosphorylation by MAP kinase kinase kinases. Mutations in this gene cause cardiofaciocutaneous syndrome (CFC syndrome), a disease characterized by heart defects, mental retardation, and distinctive facial features similar to those found in Noonan syndrome. The inhibition or degradation of this kinase is also found to be involved in the pathogenesis of Yersinia and anthrax. A pseudogene, which is located on chromosome 7, has been identified for this gene.