Warehouse Overstock Promotion |  Save 10%  on Premium Lab Supplies |  Shop Now

Menu

This product has been added to the cart.

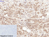
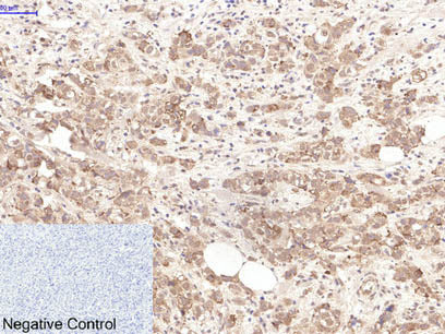
LTF Monoclonal Antibody

SKU: E-AB-22104-200

  • $ 32895
  • Save $ 1500


Request a Quote

LTF Monoclonal Antibody

 

SKU # E-AB-22104
Reactivity Human
Host Mouse
Applications IHC-p,  IF

 

Product Details

Isotype IgG
Host Mouse
Reactivity Human
Applications IHC-p,  IF
Clonality Monoclonal
Immunogen Synthetic Peptide
Abbre Lactoferrin
Synonyms GIG12,  Growth inhibiting protein 12,  HLF2,  Kaliocin 1,  LF,  LTF,  Lactoferrin,  Lactoferroxin-C,  Lactotransferrin,  Neutrophil lactoferrin,  TRFL,  Talalactoferrin
Swissprot
Cellular Localization Secreted.
Tissue Specificity High levels are found in saliva and tears, intermediate levels in serum and plasma, and low levels in urine. In kidney, detected in the distal collecting tubules in the medulla but not in the cortical region or in blood vessels. Detected in peripheral blood neutrophils (at protein level). Isoform 1 and isoform DeltaLf are expressed in breast, prostate, spleen, pancreas, kidney, small intestine, lung, skeletal muscle, uterus, thymus and fetal liver. Isoform 1 is expressed in brain, testis and peripheral blood leukocytes; isoform DeltaLf is barely detectable in these tissues. Isoform DeltaLf is expressed in placenta, liver and ovary, isoform 1 is barely detectable in these tissues. In kidney, isoform 1 is expressed at high levels in the collecting tubules of the medulla but at very low levels in the cortex.
Concentration 1 mg/mL
Buffer Phosphate buffered solution, pH 7.4, containing 0.05% stabilizer, 0.5% protein protectant and 50% glycerol.
Purification Method Protein A purification
Research Areas Cancer,  Cardiovascular
Clone No. 1A6
Conjugation Unconjugated
Storage Store at -20°C Valid for 12 months. Avoid freeze / thaw cycles.
Shipping The product is shipped with ice pack,upon receipt,store it immediately at the temperature recommended.

 

Related Reagents

Applications Recommended Dilution
IHC 1:50-300
IF 1:50-1:200

 

Background

This gene is a member of the transferrin family of genes and its protein product is found in the secondary granules of neutrophils. The protein is a major iron-binding protein in milk and body secretions with an antimicrobial activity, making it an important component of the non-specific immune system. The protein demonstrates a broad spectrum of properties, including regulation of iron homeostasis, host defense against a broad range of microbial infections, anti-inflammatory activity, regulation of cellular growth and differentiation and protection against cancer development and metastasis. Alternatively spliced transcript variants encoding different isoforms have been found for this gene.