Warehouse Overstock Promotion |  Save 10%  on Premium Lab Supplies |  Shop Now

Menu

This product has been added to the cart.

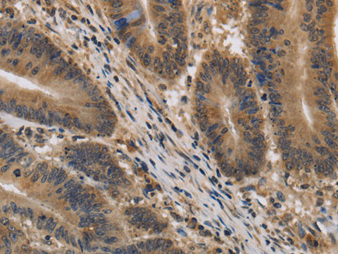
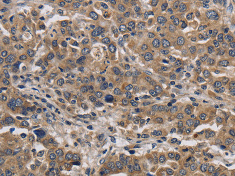
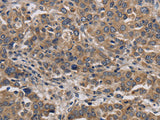
KIF22 Polyclonal Antibody Store at -20°C

SKU: E-AB-13363-200

  • $ 55995
  • Save $ 4000


Request a Quote

KIF22 Polyclonal Antibody Store at -20°C

 

SKU # E-AB-13363
Reactivity Human
Host Rabbit
Applications IHC

 

Product Details

Isotype IgG
Host Rabbit
Reactivity Human
Applications IHC
Clonality Polyclonal
Immunogen Synthetic peptide of human KIF22
Abbre KIF22
Synonyms A 328A3.2,  KID,  KIF 22,  KIF22,  Kinesin family member 22,  Kinesin like 4,  Kinesin like DNA binding protein,  Kinesin like DNA binding protein pseudogene,  Kinesin like protein 4,  Kinesin like protein KIF22,  Kinesin-like DNA-binding protein,  Kinesin-like protein 4,  kif22
Swissprot
Cellular Localization Nucleus. Cytoplasm>cytoskeleton.
Concentration 0.7 mg/mL
Buffer Phosphate buffered solution, pH 7.4, containing 0.05% stabilizer and 50% glycerol.
Purification Method Affinity purification
Research Areas Signal Transduction
Conjugation Unconjugated
Storage Store at -20°C Valid for 12 months. Avoid freeze / thaw cycles.
Shipping The product is shipped with ice pack, upon receipt, store it immediately at the temperature recommended.

 

Related Reagents

Applications Recommended Dilution
IHC 1:50-1:200

 

Background

The protein encoded by this gene is a member of the kinesin-like protein family. The family members are microtubule-dependent molecular motors that transport organelles within cells and move chromosomes during cell division. The C-terminal half of this protein has been shown to bind DNA. Studies with the Xenopus homolog suggests its essential role in metaphase chromosome alignment and maintenance. Alternatively spliced transcript variants encoding different isoforms have been found for this gene.