Warehouse Overstock Promotion |  Save 10%  on Premium Lab Supplies |  Shop Now

Menu

This product has been added to the cart.

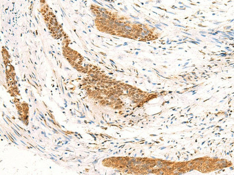
IDUA Polyclonal Antibody Reactivity Human

SKU: E-AB-52010-200

  • $ 32895
  • Save $ 1500


Request a Quote

IDUA Polyclonal Antibody Reactivity Human

 

SKU # E-AB-52010
Reactivity Human, Mouse
Host Rabbit
Applications IHC

 

Product Details

Isotype IgG
Host Rabbit
Reactivity Human, Mouse
Applications IHC
Clonality Polyclonal
Immunogen Synthetic peptide of human IDUA
Abbre IDUA
Synonyms Alpha L iduronidase,  IDA,  Iduronidase alpha L,  MPS1
Swissprot
Cellular Localization Lysosome
Concentration 0.78 mg/mL
Buffer Phosphate buffered solution, pH 7.4, containing 0.05% stabilizer and 50% glycerol.
Purification Method Antigen affinity purification
Research Areas Metabolism,  Signal transduction
Conjugation Unconjugated
Storage Store at -20°C Valid for 12 months. Avoid freeze / thaw cycles.
Shipping The product is shipped with ice pack, upon receipt, store it immediately at the temperature recommended.

 

Related Reagents

Applications Recommended Dilution
IHC 1:30-1:150

 

Background

This gene encodes an enzyme that hydrolyzes the terminal alpha-L-iduronic acid residues of two glycosaminoglycans, dermatan sulfate and heparan sulfate.This hydrolysis is required for the lysosomal degradation of these glycosaminoglycans.Mutations in this gene that result in enzymatic deficiency lead to the autosomal recessive disease mucopolysaccharidosis type I (MPS I).