Warehouse Overstock Promotion |  Save 10%  on Premium Lab Supplies |  Shop Now

Menu

This product has been added to the cart.

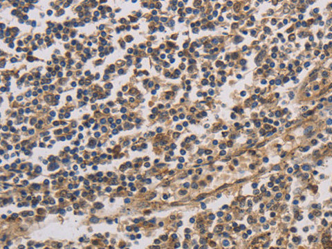
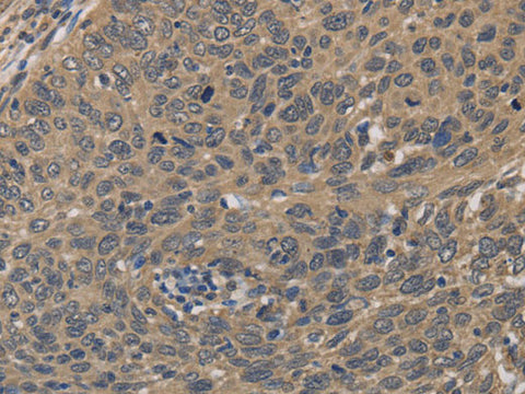
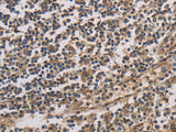
HSF1 Polyclonal Antibody Store at -20°C

SKU: E-AB-10374-200

  • $ 20495
  • Save $ 3600


Request a Quote

HSF1 Polyclonal Antibody Store at -20°C

 

SKU # E-AB-10374
Reactivity Human, Mouse
Host Rabbit
Applications IHC

 

Product Details

Isotype IgG
Host Rabbit
Reactivity Human,  Mouse
Applications IHC
Clonality Polyclonal
Immunogen Recombinant protein of human HSF1
Abbre HSF1
Synonyms HSF 1,  HSF1,  HSTF 1,  HSTF1,  Heat shock factor 1,  Heat shock factor protein 1,  Heat shock transcription factor 1,  hsf1
Swissprot
Cellular Localization Cytoplasm. Nucleus. Cytoplasmic during normal growth. On activation, translocates to nuclear stress granules. Colocalizes with SUMO1 in nuclear stress granules.
Concentration 0.8 mg/mL
Buffer Phosphate buffered solution, pH 7.4, containing 0.05% stabilizer and 50% glycerol.
Purification Method Affinity purification
Research Areas Cancer,  Cardiovascular,  Epigenetics and Nuclear Signaling,  Tags and Cell Markers
Conjugation Unconjugated
Storage Store at -20°C Valid for 12 months. Avoid freeze / thaw cycles.
Shipping The product is shipped with ice pack,upon receipt,store it immediately at the temperature recommended.

 

Related Reagents

Applications Recommended Dilution
IHC 1:100-1:300

 

Background

The product of this gene is a heat-shock transcription factor.Transcription of heat-shock genes is rapidly induced after temperature stress.Hsp90, by itself and/or associated witHuman, Mouseultichaperone complexes, is a major repressor of this gene.