Warehouse Overstock Promotion |  Save 10%  on Premium Lab Supplies |  Shop Now

Menu

This product has been added to the cart.

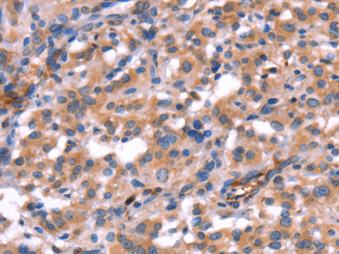
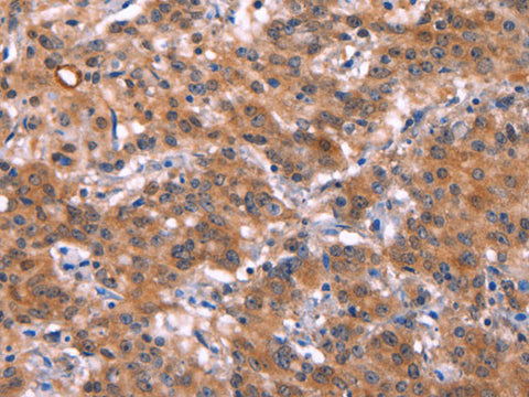
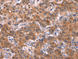
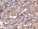
HMGCS1 Polyclonal Antibody Store at -20°C

SKU: E-AB-13295-200

  • $ 55995
  • Save $ 4000


Request a Quote

HMGCS1 Polyclonal Antibody Store at -20°C

 

SKU # E-AB-13295
Reactivity Human
Host Rabbit
Applications WB, IHC

 

Product Details

Isotype IgG
Host Rabbit
Reactivity Human
Applications WB, IHC
Clonality Polyclonal
Immunogen Synthetic peptide of human HMGCS1
Abbre HMGCS1
Synonyms 3 hydroxy 3 methylglutaryl Coenzyme A synthase 1 (soluble),  3-hydroxy-3-methylglutaryl coenzyme A synthase,  EC 2.3.3.10,  HMCS1,  HMG CoA synthase,  HMG-CoA synthase,  HMGCS,  HMGCS1,  Hydroxymethylglutaryl CoA synthase,  Hydroxymethylglutaryl-CoA,  cytoplasmic
Swissprot
Calculated MW 57 kDa
Cellular Localization Cytoplasm.
Concentration 0.4 mg/mL
Buffer Phosphate buffered solution, pH 7.4, containing 0.05% stabilizer and 50% glycerol.
Purification Method Affinity purification
Research Areas Cancer,  Cardiovascular,  Metabolism,  Signal Transduction
Conjugation Unconjugated
Storage Store at -20°C Valid for 12 months. Avoid freeze / thaw cycles.
Shipping The product is shipped with ice pack, upon receipt, store it immediately at the temperature recommended.

 

Related Reagents

Applications Recommended Dilution
WB 1:500-1:2000
IHC 1:50-1:200

 

Background

HMG-CoA Synthase exists as both a mitochondrial (mHMGCS) and cytoplasmic (cHMGCS) enzyme that condenses acetyl-CoA with acetoacetyl-CoA to form HMG-CoA. The HMG-CoA produced by cHMGCS is transformed into mevalonate by HMG-CoA reductase, which starts isoprenoid biosynthesis. End products of the isoprenoid pathway include cholesterol, ubiquinone, dolichol, isopentenyl adenosine and farnesyl groups. mHMGCS, together with HMG-CoA Lyase, is responsible for ketone body biosynthesis. mHMGCS is expressed in liver and kidney. Fasting, cAMP and fatty acids increase the level of transcription of mHMGCS, while feeding and insulin repress it. A regulatory element within the mHMGCS promoter confers transcriptional regulation by PPAR, RXR, COUP-TF and HNF-4.