Warehouse Overstock Promotion |  Save 10%  on Premium Lab Supplies |  Shop Now

Menu

This product has been added to the cart.

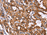
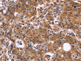
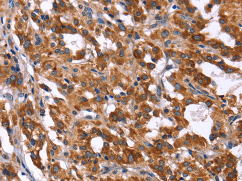
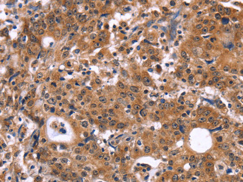
HACE1 Polyclonal Antibody Store at -20°C

SKU: E-AB-13286-200

  • $ 26595
  • Save $ 800


Request a Quote

HACE1 Polyclonal Antibody Store at -20°C

 

SKU # E-AB-13286
Reactivity Human, Mouse, Rat
Host Rabbit
Applications IHC

 

Product Details

Isotype IgG
Host Rabbit
Reactivity Human, Mouse, Rat
Applications IHC
Clonality Polyclonal
Immunogen Synthetic peptide of human HACE1
Abbre HACE1
Synonyms E3 ubiquitin-protein ligase HACE1,  HACE 1,  HECT domain and ankyrin repeat-containing E3 ubiquitin-protein ligase 1,  KIAA1320
Swissprot
Cellular Localization Cytoplasmic, Endoplasmic reticulum and Golgi Apparatus. A significant portion localizes to the endoplasmic reticulum.
Concentration 1.2 mg/mL
Buffer Phosphate buffered solution, pH 7.4, containing 0.05% stabilizer and 50% glycerol.
Purification Method Affinity purification
Research Areas Cancer,  Cell Biology,  Epigenetics and Nuclear Signaling
Conjugation Unconjugated
Storage Store at -20°C Valid for 12 months. Avoid freeze / thaw cycles.
Shipping The product is shipped with ice pack, upon receipt, store it immediately at the temperature recommended.

 

Related Reagents

Applications Recommended Dilution
IHC 1:50-1:200

 

Background

HACE1 (HECT domain and ankyrin repeat containing, E3 ubiquitin protein ligase 1), also known as KIAA1320, is a 909 amino acid protein that localizes to both the cytoplasm and the endoplasmic reticulum and contains one HECT domain and six ANK repeats. Expressed in kidney, heart and brain, HACE1 functions as an E3 ubiquitin-protein ligase that interacts with the proteasome and is thought to play a role in protein degradation. HACE1 is downregulated in Wilms tumor, suggesting a possible role in tumor suppression.