Warehouse Overstock Promotion |  Save 10%  on Premium Lab Supplies |  Shop Now

Menu

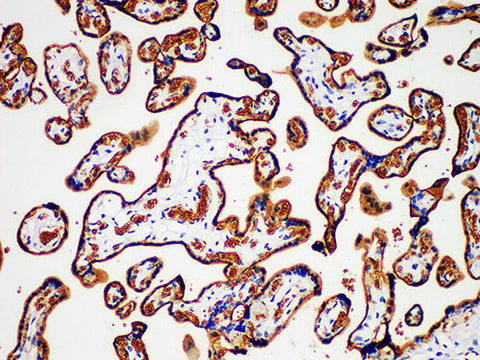
GLUT-1 Monoclonal Antibody stored at 2~8°C

SKU: PA6583-1.5

To better serve you, we would like to discuss your specific requirement.
Please Contact Us for a quote.


-Request a Quote

GLUT-1 Monoclonal Antibody stored at 2~8°C

 

Product Details

Host Mouse
Reactivity Human
Applications IHC-P
Synonyms GLUT-1
Cellular Localization cell membrane
Tissue Specificity Placenta
Storage The RTU should be stored at 2~8°C protecting from light (Do not freeze),Valid for 12 months.
Shipping Ice bag

 

Background

GLUT1, also known as human red blood cell glucose transporter, is a member of the glut family. Its main function is to transfer glucose into epithelial cells. At present, it is mainly used in the research of diabetic nephropathy and retinopathy.

Share Share