Warehouse Overstock Promotion |  Save 10%  on Premium Lab Supplies |  Shop Now

Menu

This product has been added to the cart.

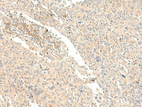
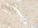
GLIS1 Polyclonal Antibody

SKU: E-AB-19911-200

  • $ 26595
  • Save $ 800


Request a Quote

GLIS1 Polyclonal Antibody

 

SKU # E-AB-19911
Reactivity Human
Host Rabbit
Applications IHC

 

Product Details

Isotype IgG
Host Rabbit
Reactivity Human
Applications IHC
Clonality Polyclonal
Immunogen Synthetic peptide of human GLIS1
Abbre GLIS1
Synonyms FLJ36155|,  GLI similar 1,  GLI-similar 1,  GLIS 1,  GLIS family zinc finger 1,  GLIS1,  Gli5 like,  Glis1,  Glis1 like,  Zinc finger protein GLIS1
Swissprot
Cellular Localization Nucleus.
Concentration 1.08 mg/mL
Buffer Phosphate buffered solution, pH 7.4, containing 0.05% stabilizer and 50% glycerol.
Purification Method Antigen affinity purification
Research Areas Epigenetics and Nuclear Signaling
Conjugation Unconjugated
Storage Store at -20°C Valid for 12 months. Avoid freeze / thaw cycles.
Shipping The product is shipped with ice pack,upon receipt,store it immediately at the temperature recommended.

 

Related Reagents

Applications Recommended Dilution
IHC 1:40-1:200

 

Background   

GLIS1 is a GLI (MIM 165220)-related Kruppel-like zinc finger protein that functions as an activator and repressor of transcription (Kim et al., 2002 [PubMed 12042312]). Binds to the consensus sequence 5'-GACCACCCAC-3' (By similarity).