Warehouse Overstock Promotion |  Save 10%  on Premium Lab Supplies |  Shop Now

Menu

This product has been added to the cart.

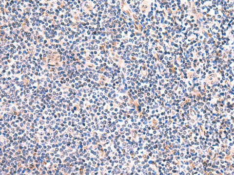
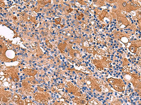
FUCA2 Polyclonal Antibody Reactivity Human

SKU: E-AB-52968-200

  • $ 55995
  • Save $ 4000


Request a Quote

FUCA2 Polyclonal Antibody Reactivity Human

 

SKU # E-AB-52968
Reactivity Human, Mouse, Rat
Host Rabbit
Applications IHC

 

Product Details

Isotype IgG
Host Rabbit
Reactivity Human, Mouse, Rat
Applications IHC
Clonality Polyclonal
Immunogen Fusion protein of human FUCA2
Abbre FUCA2
Synonyms alpha-L,   plasma,  Alpha L fucosidase 2,  Alpha L fucosidase fucohydrolase 2,  Alpha-L-fucosidase 2,  Alpha-L-fucoside fucohydrolase 2,  FUCA 2,  FUCA2,  FUCO2,  Fucosidase,  Fucosidase alpha L 2 plasma,  MGC1314,  Plasma alpha L fucosidase,  Plasma alpha-L-fucosi,  dJ20N2.5
Swissprot
Cellular Localization Secreted.
Concentration 1.44 mg/mL
Buffer Phosphate buffered solution, pH 7.4, containing 0.05% stabilizer and 50% glycerol.
Purification Method Antigen affinity purification
Research Areas Metabolism,  Signal transduction
Conjugation Unconjugated
Storage Store at -20°C Valid for 12 months. Avoid freeze / thaw cycles.
Shipping The product is shipped with ice pack, upon receipt, store it immediately at the temperature recommended.

 

Related Reagents

Applications Recommended Dilution
IHC 1:50-1:300

 

Background

This gene encodes a plasma alpha-L-fucosidase, which represents 10-20% of the total cellular fucosidase activity. The protein is a member of the glycosyl hydrolase 29 family, and catalyzes the hydrolysis of the alpha-1,6-linked fucose joined to the reducing-end N-acetylglucosamine of the carbohydrate moieties of glycoproteins. This enzyme is essential for Helicobacter pylori adhesion to human gastric cancer cells.