Warehouse Overstock Promotion |  Save 10%  on Premium Lab Supplies |  Shop Now

Menu

This product has been added to the cart.

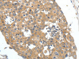
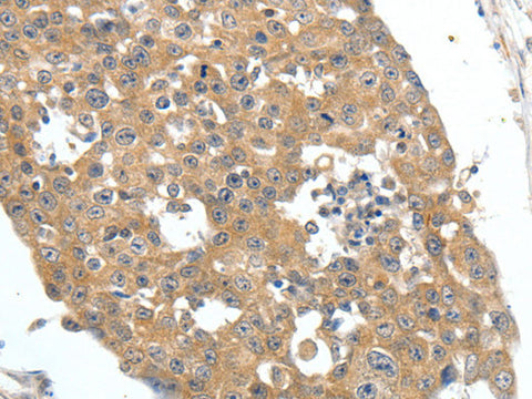
FSHR Polyclonal Antibody Store at -20°C

SKU: E-AB-14085-200

  • $ 33995
  • Save $ 6000


Request a Quote

FSHR Polyclonal Antibody Store at -20°C

 

SKU # E-AB-14085
Reactivity Human,  Mouse,  Rat
Host Rabbit
Applications IHC

 

Product Details

Isotype IgG
Host Rabbit
Reactivity Human,  Mouse,  Rat
Applications IHC
Clonality Polyclonal
Immunogen Recombinant protein of human FSHR
Abbre FSHR
Synonyms FSH receptor,  FSH-R,  FSHR,  FSHRO,  Follicle stimulating hormone receptor,  Follicle stimulating hormone receptor isoform 1,  Follicle-stimulating hormone receptor,  Follitropin receptor,  Fshr,  LGR1,  MGC141667,  MGC141668,  ODG1,  ovarian dysgenesis 1
Swissprot
Cellular Localization Cell membrane.
Concentration 0.2 mg/mL
Buffer Phosphate buffered solution, pH 7.4, containing 0.05% stabilizer and 50% glycerol.
Purification Method Affinity purification
Research Areas Cancer,  Neuroscience,  Signal Transduction
Conjugation Unconjugated
Storage Store at -20°C Valid for 12 months. Avoid freeze / thaw cycles.
Shipping The product is shipped with ice pack,upon receipt,store it immediately at the temperature recommended.

 

Related Reagents

Applications Recommended Dilution
IHC 1:50-1:200

 

Background

The protein encoded by this gene belongs to family 1 of G-protein coupled receptors. It is the receptor for follicle stimulating hormone and functions in gonad development. Mutations in this gene cause ovarian dysgenesis type 1, and also ovarian hyperstimulation syndrome. Alternative splicing results in multiple transcript variants.