Warehouse Overstock Promotion |  Save 10%  on Premium Lab Supplies |  Shop Now

Menu

This product has been added to the cart.

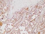
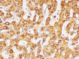
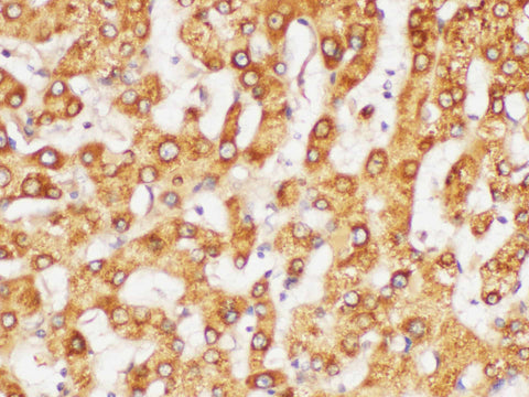
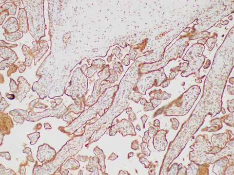
FGG Polyclonal Antibody Reactivity Rat

SKU: E-AB-40412-200

  • $ 54295
  • Save $ 3800


Request a Quote

FGG Polyclonal Antibody Reactivity Rat

 

SKU # E-AB-40412
Reactivity Human, Mouse, Rat
Host Rabbit
Applications WB, IHC

 

Product Details

Isotype IgG
Host Rabbit
Reactivity Human, Mouse, Rat
Applications WB, IHC
Clonality Polyclonal
Immunogen Recombinant Mouse Fibrinogen gamma chain protein
Abbre FGG
Synonyms Fibrinogen gamma chain,   Fibrinogen gamma polypeptide,  FGG
Swissprot
Calculated MW 49 kDa
Observed MW 49 kDa
Cellular Localization Secreted
Concentration 1 mg/mL
Buffer PBS with 0.05% proclin 300, 1% protective protein and 50% glycerol,pH7.4
Purification Method Antigen Affinity Purification
Research Areas Cardiovascular
Conjugation Unconjugated
Storage Store at -20°C Valid for 12 months. Avoid freeze / thaw cycles.
Shipping The product is shipped with ice pack, upon receipt, store it immediately at the temperature recommended.

 

Related Reagents

Applications Recommended Dilution
WB 1:1000-1:3000
IHC 1:100-1:300

 

Background

The protein encoded by this gene is the gamma component of fibrinogen, a blood-borne glycoprotein comprised of three pairs of nonidentical polypeptide chains. Following vascular injury, fibrinogen is cleaved by thrombin to form fibrin which is the most abundant component of blood clots. In addition, various cleavage products of fibrinogen and fibrin regulate cell adhesion and spreading, display vasoconstrictor and chemotactic activities, and are mitogens for several cell types. Mutations in this gene lead to several disorders, including dysfibrinogenemia, hypofibrinogenemia and thrombophilia. Alternative splicing results in transcript variants encoding different isoforms.