Warehouse Overstock Promotion |  Save 10%  on Premium Lab Supplies |  Shop Now

Menu

This product has been added to the cart.

FAAH Polyclonal Antibody Store at -20°C

SKU: E-AB-11207-200

  • $ 32895
  • Save $ 1500


Request a Quote

FAAH Polyclonal Antibody Store at -20°C

 

SKU # E-AB-11207
Reactivity Human, Mouse, Rat
Host Rabbit
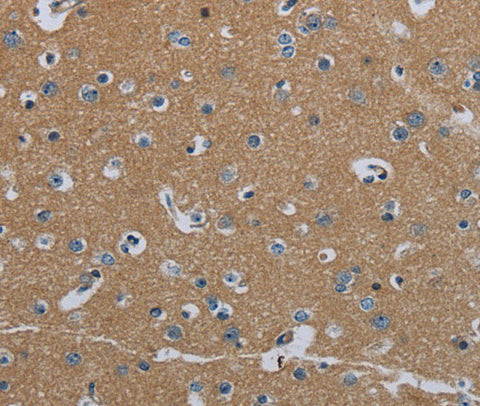
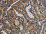
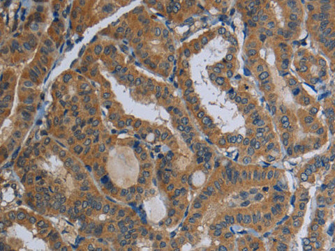
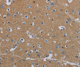
Applications IHC

 

Product Details

Isotype IgG
Host Rabbit
Reactivity Human, Mouse, Rat
Applications IHC
Clonality Polyclonal
Immunogen Recombinant protein of human FAAH
Abbre FAAH
Synonyms Anandamide amidohydrolase,  Anandamide amidohydrolase 1,  FA2H,  FAAH,  FAAH-1,  FAAH1,  Fatty acid 2-hydroxylase,  Fatty acid alpha-hydroxylase,  Fatty acid amide hydrolase,  Fatty-acid amide hydrolase 1,  MGC102823,  MGC138146,  Oleamide hydrolase,  Oleamide hydrolase 1
Swissprot
Cellular Localization Endomembrane system. Cytoplasm>cytoskeleton. Seems to be attached to intracellular membranes and a portion of the cytoskeletal network.
Concentration 0.3 mg/mL
Buffer Phosphate buffered solution, pH 7.4, containing 0.05% stabilizer and 50% glycerol.
Purification Method Affinity purification
Research Areas Cancer,  Metabolism,  Signal Transduction
Conjugation Unconjugated
Storage Store at -20°C Valid for 12 months. Avoid freeze / thaw cycles.
Shipping The product is shipped with ice pack,upon receipt,store it immediately at the temperature recommended.

 

Related Reagents

Applications Recommended Dilution
IHC 1:50-1:200

 

Background

This gene encodes a protein that is responsible for the hydrolysis of a number of primary and secondary fatty acid amides, including the neuromodulatory compounds anandamide and oleamide.