Warehouse Overstock Promotion |  Save 10%  on Premium Lab Supplies |  Shop Now

Menu

This product has been added to the cart.

Ephrin A1 Polyclonal Antibody Store at -20°C

SKU: E-AB-10303-200

  • $ 20495
  • Save $ 3600


Request a Quote

Ephrin A1 Polyclonal Antibody Store at -20°C

 

SKU # E-AB-10303
Reactivity Human, Mouse, Rat
Host Rabbit
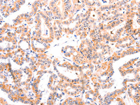
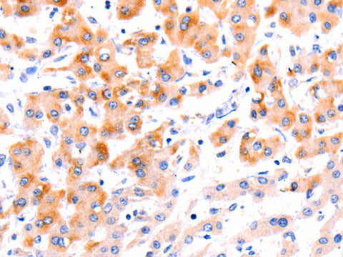
Applications IHC

 

Product Details

Isotype IgG
Host Rabbit
Reactivity Human,  Mouse,  Rat
Applications IHC
Clonality Polyclonal
Immunogen Recombinant protein of human EFNA1
Abbre Ephrin A1
Synonyms B61,  ECKLG,  EFL 1,  EFL1,  EFNA 1,  EFNA1,  EPH related receptor tyrosine kinase ligand 1,  EPH-related receptor tyrosine kinase ligand 1,  EPLG 1,  EPLG1,  Efna1,  Ephrin-A1,  EphrinA1,  Immediate early response protein B61,  LERK 1,  LERK-1,  LERK1,  Ligand of ,  secreted form
Swissprot
Cellular Localization Secreted and Cell membrane.
Concentration 0.4 mg/mL
Buffer Phosphate buffered solution, pH 7.4, containing 0.05% stabilizer and 50% glycerol.
Purification Method Affinity purification
Research Areas Cardiovascular,  Neuroscience,  Signal Transduction
Conjugation Unconjugated
Storage Store at -20°C Valid for 12 months. Avoid freeze / thaw cycles.
Shipping The product is shipped with ice pack,upon receipt,store it immediately at the temperature recommended.

 

Related Reagents

Applications Recommended Dilution
IHC 1:50-1:150

 

Background

This gene encodes a member of the ephrin (EPH) family. The ephrins and EPH-related receptors comprise the largest subfamily of receptor protein-tyrosine kinases and have been implicated in mediating developmental events, especially in the nervous system and in erythropoiesis. Based on their structures and sequence relationships, ephrins are divided into the ephrin-A (EFNA) class, which are anchored to the membrane by a glycosylphosphatidylinositol linkage, and the ephrin-B (EFNB) class, which are transmembrane proteins. This gene encodes an EFNA class ephrin which binds to the EPHA2, EPHA4, EPHA5, EPHA6, and EPHA7 receptors. Two transcript variants that encode different isoforms were identified through sequence analysis.