Warehouse Overstock Promotion |  Save 10%  on Premium Lab Supplies |  Shop Now

Menu

This product has been added to the cart.

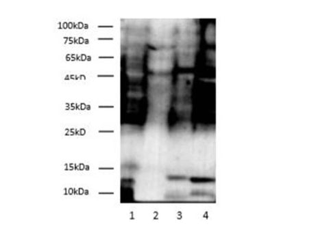
Dimethyl-Lysine Polyclonal Antibody

SKU: E-AB-40541-200

  • $ 40795
  • Save $ 2300


Request a Quote

Dimethyl-Lysine Polyclonal Antibody

 

SKU # E-AB-40541
Reactivity Human, Mouse, E.coli
Host Rabbit
Applications WB, Dot blot

 

Product Details

Isotype IgG
Host Rabbit
Reactivity Human, Mouse, E.coli
Applications WB, Dot blot
Clonality Polyclonal
Immunogen Dimethyl Protein
Abbre Dimethyl-Lysine
Synonyms Di-Me-K,   Di-Me-Lycine,  Pan Di-Methyl-lysine
Concentration 1 mg/mL
Buffer PBS with 0.05% proclin 300, 1% protective protein and 50% glycerol,pH7.4
Purification Method Antigen Affinity Purification
Conjugation Unconjugated
Storage Store at -20°C Valid for 12 months. Avoid freeze / thaw cycles.
Shipping The product is shipped with ice pack, upon receipt, store it immediately at the temperature recommended.

 

Related Reagents

Applications Recommended Dilution
WB 1:1000-2000
Dot Blot 1:2000

 

Background

In proteins, lysine residue can be methylated once, twice or thrice on its terminal sidechain ammonium group. Such methylated lysines play an important role in epigenetics; the methylation of specific lysines of certain histones in a nucleosome al