Warehouse Overstock Promotion |  Save 10%  on Premium Lab Supplies |  Shop Now

Menu

This product has been added to the cart.

COPS5 Polyclonal Antibody Store at -20°C

SKU: E-AB-10415-200

  • $ 33995
  • Save $ 6000


Request a Quote

COPS5 Polyclonal Antibody Store at -20°C

 

SKU # E-AB-10415
Reactivity Human, Mouse
Host Rabbit
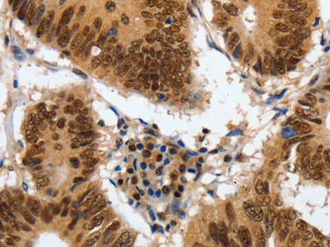
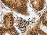
Applications WB, IHC

 

Product Details

Isotype IgG
Host Rabbit
Reactivity Human,  Mouse
Applications WB,  IHC
Clonality Polyclonal
Immunogen Recombinant protein of human COPS5
Abbre COPS5
Synonyms 38 kDa Mov34 homolog,  COP9 (constitutive photomorphogenic) homolog subunit 5,  COP9 constitutive photomorphogenic homolog subunit 5,  COP9 signalosome complex subunit 5,  COP9 signalosome subunit 5,  COPS 5,  CSN 5,  CSN5,  Cop9 subunit 5,  JAB 1,  Jun activation,  cops5
Swissprot
Calculated MW 38 kDa
Cellular Localization Cytoplasm. Nucleus.
Concentration 0.9 mg/mL
Buffer Phosphate buffered solution, pH 7.4, containing 0.05% stabilizer and 50% glycerol.
Purification Method Affinity purification
Research Areas Cancer,  Cell Biology,  Epigenetics and Nuclear Signaling,  Neuroscience,  Signal Transduction
Conjugation Unconjugated
Storage Store at -20°C Valid for 12 months. Avoid freeze / thaw cycles.
Shipping The product is shipped with ice pack,upon receipt,store it immediately at the temperature recommended.

 

Related Reagents

Applications Recommended Dilution
WB 1:1000-1:5000
IHC 1:150-1:500

 

Background

The protein encoded by this gene is one of the eight subunits of COP9 signalosome, a highly conserved protein complex that functions as an important regulator in multiple signaling pathways. The structure and function of COP9 signalosome is similar to that of the 19S regulatory particle of 26S proteasome. COP9 signalosome has been shown to interact with SCF-type E3 ubiquitin ligases and act as a positive regulator of E3 ubiquitin ligases. This protein is reported to be involved in the degradation of cyclin-dependent kinase inhibitor CDKN1B/p27Kip1. It is also known to be an coactivator that increases the specificity of JUN/AP1 transcription factors.