Warehouse Overstock Promotion |  Save 10%  on Premium Lab Supplies |  Shop Now

Menu

This product has been added to the cart.

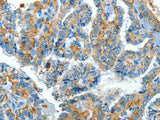
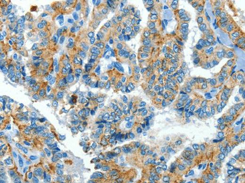
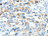
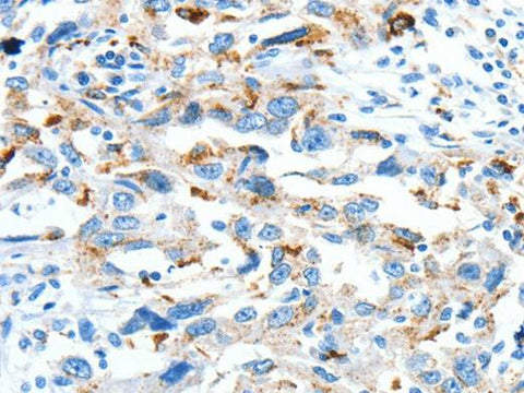
CLPTM1L Polyclonal Antibody

SKU: E-AB-16347-200

  • $ 55995
  • Save $ 4000


Request a Quote

CLPTM1L Polyclonal Antibody

 

SKU # E-AB-16347
Reactivity Human
Host Rabbit
Applications IHC

 

Product Details

Isotype IgG
Host Rabbit
Reactivity Human
Applications IHC
Clonality Polyclonal
Immunogen Synthetic peptide of human CLPTM1L
Abbre CLPTM1L
Synonyms C130052I12Rik,  CLP1,  Cisplatin resistance related protein 9,  Cisplatin resistance related protein CRR9p,  Cisplatin resistance-related protein 9,  Cleft lip and palate transmembrane protein 1 like protein,  Cleft lip and palate transmembrane protein 1-like protein
Swissprot
Cellular Localization Membrane.
Concentration 0.7 mg/mL
Buffer Phosphate buffered solution, pH 7.4, containing 0.05% stabilizer and 50% glycerol.
Purification Method Affinity purification
Research Areas Cell biology
Conjugation Unconjugated
Storage Store at -20°C Valid for 12 months. Avoid freeze / thaw cycles.
Shipping The product is shipped with ice pack,upon receipt,store it immediately at the temperature recommended.

 

Related Reagents

Applications Recommended Dilution
IHC 1:50-1:200

 

Background

Cleft lip and palate transmembrane protein 1-like protein (CLPTM1-like protein), also known as cisplatin resistance-related protein 9 (CRR9p), is a protein that in humans is encoded by the CLPTM1L gene.CRR9p is associated with cisplatin-induced apoptosis.CLPTM1L, which lies within a cancer susceptibility locus on chromosome 5 (5p15.33), has been found to be commonly over-expressed in lung tumors and to confer resistance to apoptosis caused by genotoxic agents in association with up-regulation of the anti-apoptotic protein, Bcl-xL.