Warehouse Overstock Promotion |  Save 10%  on Premium Lab Supplies |  Shop Now

Menu

This product has been added to the cart.

CK-8 Monoclonal Antibody

SKU: E-AB-22018-200

  • $ 32895
  • Save $ 1500


Request a Quote

CK-8 Monoclonal Antibody

 

SKU # E-AB-22018
Reactivity Human,  Mouse,  Rat
Host Mouse
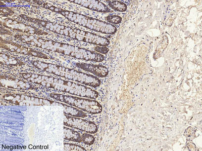
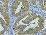
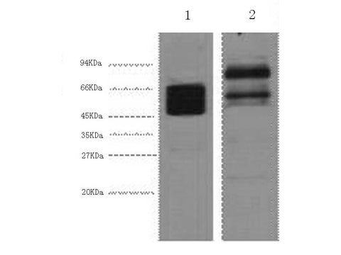
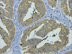
Applications WB,  IHC-p

 

Product Details

Isotype IgG
Host Mouse
Reactivity Human,  Mouse,  Rat
Applications WB,  IHC-p
Clonality Monoclonal
Immunogen Synthetic Peptide
Abbre CK8
Synonyms CARD2,  CK 8,  CK-8,  CK8,  CYK8,  CYKER,  Cytokeratin endo A,  Cytokeratin-8,  DreK8,  EndoA,  K2C8,  K8,  KO,  KRT8,  Keratin,  Keratin 8,  Keratin type II cytoskeletal 8,  Keratin-8,  Krt 2.8,  MGC118110,  MGC174782,  MGC53564,  MGC85764,  Type-II keratin Kb8,  sb:cb186,  type II cytoskeletal 8
Swissprot
Calculated MW 54 kDa
Observed MW 54 kDa
Cellular Localization Cytoplasm
Tissue Specificity Observed in muscle fibers accumulating in the costameres of myoplasm at the sarcolemma membrane in structures that contain dystrophin and spectrin. Expressed in gingival mucosa and hard palate of the oral cavity.
Concentration 1 mg/mL
Buffer Phosphate buffered solution, pH 7.4, containing 0.05% stabilizer, 0.5% protein protectant and 50% glycerol.
Purification Method Protein A purification
Research Areas Cancer,  Signal Transduction
Clone No. 5K3
Conjugation Unconjugated
Storage Store at -20°C Valid for 12 months. Avoid freeze / thaw cycles.
Shipping The product is shipped with ice pack,upon receipt,store it immediately at the temperature recommended.

 

Related Reagents

Applications Recommended Dilution
WB 1:2000-5000
IHC 1:50-1:200

 

Background

Together with KRT19, helps to link the contractile apparatus to dystrophin at the costameres of striated muscle.