Warehouse Overstock Promotion |  Save 10%  on Premium Lab Supplies |  Shop Now

Menu

This product has been added to the cart.

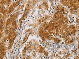
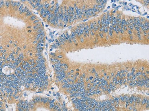
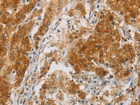
CENPE Polyclonal Antibody Store at -20°C Host Rabbit

SKU: E-AB-16335-200

  • $ 26595
  • Save $ 800


Request a Quote

CENPE Polyclonal Antibody Store at -20°C Host Rabbit

 

SKU # E-AB-16335
Reactivity Human, Mouse
Host Rabbit
Applications IHC

 

Product Details

Isotype IgG
Host Rabbit
Reactivity Human, Mouse
Applications IHC
Clonality Polyclonal
Immunogen Synthetic peptide of human CENPE
Abbre CENPE
Synonyms CENP E,  Centromere associated protein E,  Centromere autoantigen E,  Centromere autoantigen E (312kD),  Centromere protein E,  Centromere protein E 312kDa,  KIF10,  Kinesin family member 10,  Kinesin related protein,  Kinesin related protein CENPE,  PPP1R61,  Protein phosphat
Swissprot
Cellular Localization Associates with kinetochores during congression, relocates to the spindle midzone at anaphase, and is quantitatively discarded at the end of the cell division.
Concentration 0.9 mg/mL
Buffer Phosphate buffered solution, pH 7.4, containing 0.05% stabilizer and 50% glycerol.
Purification Method Affinity purification
Research Areas Cancer, Epigenetics and Nuclear Signaling
Conjugation Unconjugated
Storage Store at -20°C Valid for 12 months. Avoid freeze / thaw cycles.
Shipping The product is shipped with ice pack,upon receipt,store it immediately at the temperature recommended.

 

Related Reagents

Applications Recommended Dilution
IHC 1:50-1:200

 

Background

Centrosome-associated protein E is a kinesin-like motor protein that accumulates in the G2 phase of the cell cycle.Unlike other centrosome-associated proteins, it is not present during interphase and first appears at the centromere region of chromosomes during prometaphase.CENPE is proposed to be one of the motors responsible for mammalian chromosome movement and/or spindle elongation.