Warehouse Overstock Promotion |  Save 10%  on Premium Lab Supplies |  Shop Now

Menu

This product has been added to the cart.

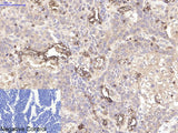
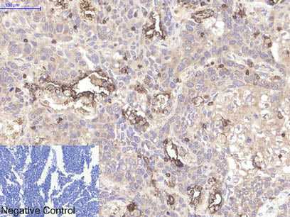
CD45 Monoclonal Antibody

SKU: E-AB-22009-200

  • $ 41695
  • Save $ 2400


Request a Quote

CD45 Monoclonal Antibody

 

SKU # E-AB-22009
Reactivity Human
Host Mouse
Applications WB,  IHC-p

 

Product Details

Isotype IgG
Host Mouse
Reactivity Human
Applications WB,  IHC-p
Clonality Monoclonal
Immunogen Synthetic Peptide
Abbre CD45
Synonyms B220,  CD 45,  CD45,  CD45 antigen,  CD45R,  GP180,  L-CA,  LCA,  LY5,  Leukocyte common antigen,  Ly-5,  Ly5,  Lyt-4,  OTTHUMP00000033813,  OTTHUMP00000033816,  OTTHUMP00000033817,  OTTHUMP00000038574,  Protein tyros,  Protein tyrosine phosphatase receptor type c polypeptide,  homolog of,  loc
Swissprot
Calculated MW 147 kDa
Observed MW 147 kDa
Cellular Localization Membrane
Concentration 1 mg/mL
Buffer Phosphate buffered solution, pH 7.4, containing 0.05% stabilizer, 0.5% protein protectant and 50% glycerol.
Purification Method Protein A purification
Research Areas Cancer,  Cardiovascular,  Immunology,  Neuroscience,  Signal Transduction,  Stem Cells
Clone No. 3H3
Conjugation Unconjugated
Storage Store at -20°C Valid for 12 months. Avoid freeze / thaw cycles.
Shipping The product is shipped with ice pack,upon receipt,store it immediately at the temperature recommended.

 

Related Reagents

Applications Recommended Dilution
WB 1:500-1:2000
IHC 1:50-300

 

Background

The protein encoded by this gene is a member of the protein tyrosine phosphatase (PTP) family.PTPs are known to be signaling molecules that regulate a variety of cellular processes including cell growth, differentiation, mitosis, and oncogenic transformation.This PTP contains an extracellular domain, a single transmembrane segment and two tandem intracytoplasmic catalytic domains, and thus is classified as a receptor type PTP.This PTP has been shown to be an essential regulator of T- and B-cell antigen receptor signaling.It functions through either direct interaction with components of the antigen receptor complexes, or by activating various Src family kinases required for the antigen receptor signaling.