Warehouse Overstock Promotion |  Save 10%  on Premium Lab Supplies |  Shop Now

Menu

This product has been added to the cart.

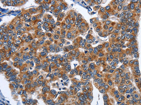
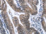
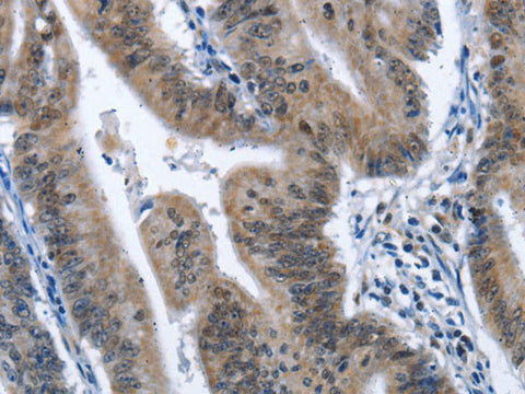
CADM3 Polyclonal Antibody Store at -20°C

SKU: E-AB-11019-200

  • $ 33995
  • Save $ 6000


Request a Quote

CADM3 Polyclonal Antibody Store at -20°C

 

SKU # E-AB-11019
Reactivity Human, Mouse, Rat
Host Rabbit
Applications IHC

 

Product Details

Isotype IgG
Host Rabbit
Reactivity Human, Mouse, Rat
Applications IHC
Clonality Polyclonal
Immunogen Recombinant protein of human CADM3
Abbre CADM3
Synonyms BIgR,  Brain immunoglobulin receptor,  CADM 3,  CADM3,  Cell adhesion molecule 3,  Dendritic cell nectin like protein 1 short isoform,  FLJ10698,  IgSF4B,  Immunoglobulin superfamily member 4B,  NECL1,  Necl 1,  Necl-1,  Nectin like 1,  Nectin like protein 1,  Nectin-like prot,  cadm3
Swissprot
Cellular Localization Cell junction. Cell membrane. Localized at the cell-cell attached sites of the plasma membrane.
Concentration 0.6 mg/mL
Buffer Phosphate buffered solution, pH 7.4, containing 0.05% stabilizer and 50% glycerol.
Purification Method Affinity purification
Research Areas Neuroscience
Conjugation Unconjugated
Storage Store at -20°C Valid for 12 months. Avoid freeze / thaw cycles.
Shipping The product is shipped with ice pack,upon receipt,store it immediately at the temperature recommended.

 

Related Reagents

Applications Recommended Dilution
IHC 1:50-1:200

 

Background

Cell adhesion molecule 3 is aproteinthat in humans is encoded by the CADM3 gene. IGSF4B is a brain-specific protein related to the calcium-independent cell-cell adhesion molecules known as nectins. Involved in the cell-cell adhesion. Has both calcium-independent homophilic cell-cell adhesion activity and calcium-independent heterophilic cell-cell adhesion activity with IGSF4, PVRL1 and PVRL3. Interaction with EPB41L1 may regulate structure or function of cell-cell junctions.