Warehouse Overstock Promotion |  Save 10%  on Premium Lab Supplies |  Shop Now

Menu

This product has been added to the cart.

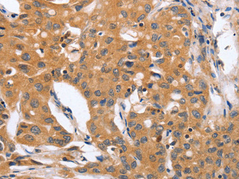
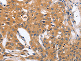
BLNK Polyclonal Antibody Store at -20°C

SKU: E-AB-13091-200

  • $ 41695
  • Save $ 2400


Request a Quote

BLNK Polyclonal Antibody Store at -20°C

 

SKU # E-AB-13091
Reactivity Human, Mouse, Rat
Host Rabbit
Applications IHC

 

Product Details

Isotype IgG
Host Rabbit
Reactivity Human, Mouse, Rat
Applications IHC
Clonality Polyclonal
Immunogen Synthetic peptide of human BLNK
Abbre BLNK
Synonyms AGM4,  B cell adapter containing SH2 domain protein,  B cell adapter containing Src homology 2 domain protein,  B cell adaptor containing SH2 domain,  B cell linker,  B cell linker protein,  B cell-specific adaptor protein,  B-cell activation,  B-cell adapter containing
Swissprot
Cellular Localization Cytoplasm. Cell membrane. BCR activation results in the translocation to membrane fraction.
Concentration 0.6 mg/mL
Buffer Phosphate buffered solution, pH 7.4, containing 0.05% stabilizer and 50% glycerol.
Purification Method Affinity purification
Research Areas Immunology,  Signal Transduction
Conjugation Unconjugated
Storage Store at -20°C Valid for 12 months. Avoid freeze / thaw cycles.
Shipping The product is shipped with ice pack,upon receipt,store it immediately at the temperature recommended.

 

Related Reagents

Applications Recommended Dilution
IHC 1:50-1:200

 

Background

This gene encodes a cytoplasmic linker or adaptor protein that plays a critical role in B cell development. This protein bridges B cell receptor-associated kinase activation with downstream signaling pathways, thereby affecting various biological functions. The phosphorylation of five tyrosine residues is necessary for this protein to nucleate distinct signaling effectors following B cell receptor activation. Mutations in this gene cause hypoglobulinemia and absent B cells, a disease in which the pro- to pre-B-cell transition is developmentally blocked. Deficiency in this protein has also been shown in some cases of pre-B acute lymphoblastic leukemia.