Warehouse Overstock Promotion |  Save 10%  on Premium Lab Supplies |  Shop Now

Menu

This product has been added to the cart.

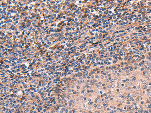
ARIH2 Polyclonal Antibody Reactivity Human

SKU: E-AB-52978-200

  • $ 55995
  • Save $ 4000


Request a Quote

ARIH2 Polyclonal Antibody Reactivity Human

 

SKU # E-AB-52978
Reactivity Human, Mouse
Host Rabbit
Applications IHC

 

Product Details

Isotype IgG
Host Rabbit
Reactivity Human, Mouse
Applications IHC
Clonality Polyclonal
Immunogen Fusion protein of human ARIH2
Abbre ARIH2
Synonyms ARI2,  ARIH 2,  Ari 2,  Ari-2,  Ariadne 2,  Ariadne 2 protein homolog,  Ariadne RBR E3 ubiquitin protein ligase 2,  Arih2,  E3 ubiq,  E3 ubiquitin protein ligase ARIH2,  HT005,  all trans retinoic acid inducible RING finger,  ariadne homolog 2,  ariadne homolog 2 (Drosophila)
Swissprot
Cellular Localization Nucleus. Cytoplasm.
Concentration 1.2 mg/mL
Buffer Phosphate buffered solution, pH 7.4, containing 0.05% stabilizer and 50% glycerol.
Purification Method Antigen affinity purification
Research Areas Cell Biology,  Epigenetics and Nuclear Signaling
Conjugation Unconjugated
Storage Store at -20°C Valid for 12 months. Avoid freeze / thaw cycles.
Shipping The product is shipped with ice pack, upon receipt, store it immediately at the temperature recommended.

 

Related Reagents

Applications Recommended Dilution
IHC 1:50-1:300

 

Background

TRIAD1, also known as ARIH2 (ariadne homolog 2) or ARI2, is a 493 amino acid protein that contains one IBR-type zinc finger and two RING-type zinc fingers and belongs to the ariadne subfamily of RBR proteins. Localized to the nucleus, TRIAD1 interacts with UBE2L3 and is thought to act as an E3 ubiquitin-protein ligase, functioning to accept ubiquitin from E2 ubiquitin-conjugating enzymes and transfer the acquired ubiquitin residue to target substrates. TRIAD1 is subject to post-translational DNA damage-dependent phosphorylation, probably by ATM or ATR. The gene encoding TRIAD1 maps to human chromosome 3, which houses over 1,100 genes, including a chemokine receptor (CKR) gene cluster and a variety of human cancer-related gene loci.