Warehouse Overstock Promotion |  Save 10%  on Premium Lab Supplies |  Shop Now

Menu

This product has been added to the cart.

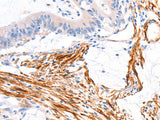
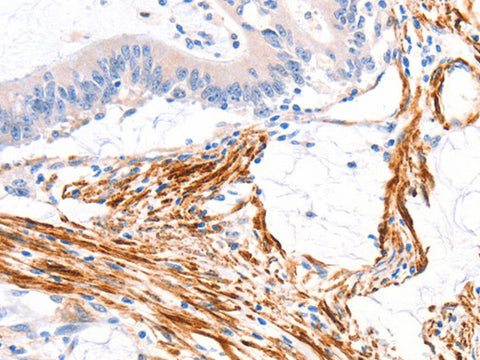
ARAP1 Polyclonal Antibody Store at -20°C

SKU: E-AB-16175-200

  • $ 41695
  • Save $ 2400


Request a Quote

ARAP1 Polyclonal Antibody Store at -20°C

 

SKU # E-AB-16175
Reactivity Human,  Mouse
Host Rabbit
Applications IHC

 

Product Details

Isotype IgG
Host Rabbit
Reactivity Human,  Mouse
Applications IHC
Clonality Polyclonal
Immunogen Synthetic peptide of human ARAP1
Abbre ARAP1
Synonyms 2410002L19Rik,  ANK repeat and PH domain-containing protein 1,  ARAP 1,  ARAP1,  Arap1,  Arf GAP Rho GAP ankyrin repeat and pleckstrin homology domains containing protein 1,  Arf GAP Rho GAP ankyrin repeat and pleckstrin homology domain containing protein 1,  Arf-GAP
Swissprot
Cellular Localization Cytoplasm. Golgi apparatus>Golgi stack membrane. Cell membrane. Associated with Golgi stacks in resting cells. Throughout the cytoplasm and in surface protrusion in cells that are in the process of attaching to a surface and spreading.
Concentration 1 mg/mL
Buffer Phosphate buffered solution, pH 7.4, containing 0.05% stabilizer and 50% glycerol.
Purification Method Affinity purification
Research Areas Signal Transduction
Conjugation Unconjugated
Storage Store at -20°C Valid for 12 months. Avoid freeze / thaw cycles.
Shipping The product is shipped with ice pack,upon receipt,store it immediately at the temperature recommended.

 

Related Reagents

Applications Recommended Dilution
IHC 1:100-1:300

 

Background

The protein encoded by this gene contains SAM, ARF-GAP, RHO-GAP, ankyrin repeat, RAS-associating, and pleckstrin homology (PH) domains. In vitro, this protein displays RHO-GAP and phosphatidylinositol (3,4,5) trisphosphate (PIP3)-dependent ARF-GAP activity. The encoded protein associates with the Golgi, and the ARF-GAP activity mediates changes in the Golgi and the formation of filopodia. It is thought to regulate the cell-specific trafficking of a receptor protein involved in apoptosis. Multiple transcript variants encoding different isoforms have been found for this gene.