Warehouse Overstock Promotion |  Save 10%  on Premium Lab Supplies |  Shop Now

Menu

This product has been added to the cart.

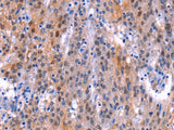
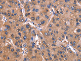
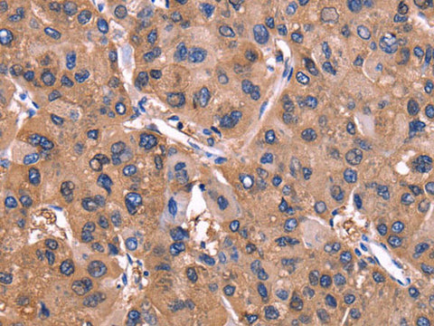
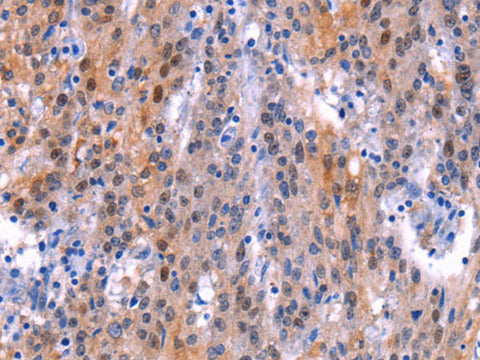
ADM2 Polyclonal Antibody

SKU: E-AB-12227-200

  • $ 41695
  • Save $ 2400


Request a Quote

ADM2 Polyclonal Antibody

 

SKU # E-AB-12227
Reactivity Human, Mouse, Rat
Host Rabbit
Applications IHC

 

Product Details

Isotype IgG
Host Rabbit
Reactivity Human, Mouse, Rat
Applications IHC
Clonality Polyclonal
Immunogen Synthetic peptide of human ADM2
Abbre ADM2
Synonyms ADM2,  AM2,  Adrenomedullin 2,  FLJ21135,  IMDL,  IMDS,  Intermedin,  Intermedin-long,  Intermedin-short,  dJ579N16.4
Swissprot
Cellular Localization Secreted.
Concentration 0.7 mg/mL
Buffer Phosphate buffered solution, pH 7.4, containing 0.05% stabilizer and 50% glycerol.
Purification Method Affinity purification
Research Areas Developmental Biology,  Neuroscience,  Signal Transduction
Conjugation Unconjugated
Storage Store at -20°C Valid for 12 months. Avoid freeze / thaw cycles.
Shipping The product is shipped with ice pack,upon receipt,store it immediately at the temperature recommended.

 

Related Reagents

Applications Recommended Dilution
IHC 1:50-1:200

 

Background

This gene encodes a protein which is a member of the calcitonin-related hormones. The encoded protein is involved in maintaining homeostasis in many tissues, acting via CRLR/RAMP receptor (calcitonin receptor-like receptor/receptor activity-modifying protein) complexes. Multiple alternatively spliced variants, encoding the same protein, have been identified.