Warehouse Overstock Promotion |  Save 10%  on Premium Lab Supplies |  Shop Now

Menu

This product has been added to the cart.

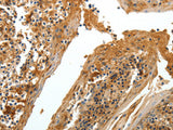
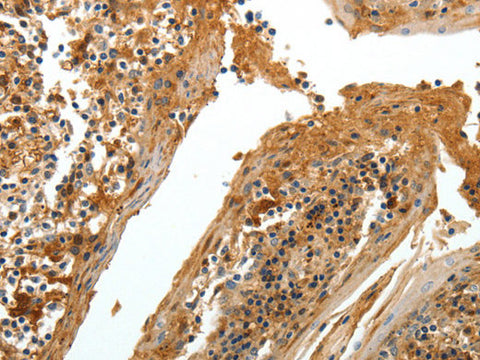
TNR Polyclonal Antibody

SKU: E-AB-12898-200

  • $ 55995


Request a Quote

TNR Polyclonal Antibody

 

SKU # E-AB-12898
Reactivity Human, Mouse, Rat
Host Rabbit
Applications IHC

 

Product Details

Isotype IgG
Host Rabbit
Reactivity Human, Mouse, Rat
Applications IHC
Clonality Polyclonal
Immunogen Synthetic peptide of human TNR
Abbre TNR
Synonyms Janusin,  MGC149328,  Restrictin,  TENR,  TN-R,  Tenascin R (restrictin,  Tenascin-R,  Tnr,  janusin)
Swissprot
Cellular Localization Secreted>extracellular space>extracellular matrix.
Concentration 0.3 mg/mL
Buffer Phosphate buffered solution, pH 7.4, containing 0.05% stabilizer and 50% glycerol.
Purification Method Affinity purification
Research Areas Developmental Biology,  Neuroscience,  Signal Transduction
Conjugation Unconjugated
Storage Store at -20°C Valid for 12 months. Avoid freeze / thaw cycles.
Shipping The product is shipped with ice pack,upon receipt,store it immediately at the temperature recommended.

 

Related Reagents

Applications Recommended Dilution
IHC 1:50-1:200

 

Background

Tenascin-R (TNR) is an extracellular matix protein expressed primarily in the central nervous system. It is a member of the tenascin (TN) gene family, which includes at least 3 genes in mammals: TNC (or hexabrachion; MIM 187380), TNX (TNXB; MIM 600985), and TNR (Erickson, 1993 [PubMed 7694605]). The genes are expressed in distinct tissues at different times during embryonic development and are present in adult tissues.