Warehouse Overstock Promotion |  Save 10%  on Premium Lab Supplies |  Shop Now

Menu

This product has been added to the cart.

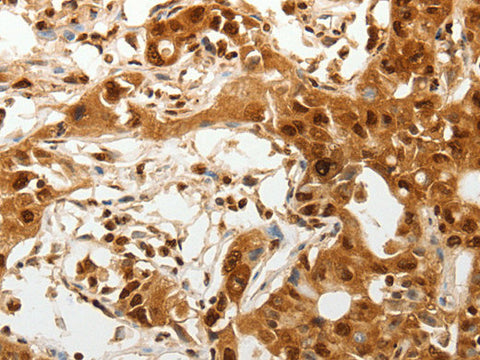
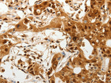
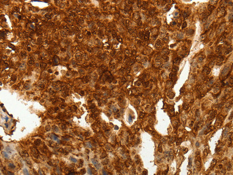
TENM3 Polyclonal Antibody Store at -20°C

SKU: E-AB-12900-200

  • $ 55995


Request a Quote

TENM3 Polyclonal Antibody Store at -20°C

 

SKU # E-AB-12900
Reactivity Human, Mouse
Host Rabbit
Applications IHC

 

Product Details

Isotype IgG
Host Rabbit
Reactivity Human, Mouse
Applications IHC
Clonality Polyclonal
Immunogen Synthetic peptide of human TENM3
Abbre TENM3
Synonyms FLJ10474,  FLJ10886,  KIAA1455,  ODZ3 like protein,  Protein Odd Oz ten m homolog 3,  Protein Odd Oz/ten-m homolog 3,  TEN3,  Ten,  Ten 3,  Ten M3,  Ten-3,  Ten-m3,  Tenascin M3,  Tenascin-M3,  odd Oz Ten m homolog 3,  odz odd Oz ten m homolog 3,  odz odd Oz ten m homolog 3 (Drosophila)
Swissprot
Cellular Localization Membrane. Cell projection, axon.
Concentration 0.3 mg/mL
Buffer Phosphate buffered solution, pH 7.4, containing 0.05% stabilizer and 50% glycerol.
Purification Method Affinity purification
Research Areas Neuroscience
Conjugation Unconjugated
Storage Store at -20°C Valid for 12 months. Avoid freeze / thaw cycles.
Shipping The product is shipped with ice pack, upon receipt, store it immediately at the temperature recommended.

 

Related Reagents

Applications Recommended Dilution
IHC 1:100-1:300

 

Background

This protein involved in neural development, regulating the establishment of proper connectivity within the nervous system. It promotes axon guidance and homophilic cell adhesion. And it plays a role in the development of the visual pathway; regulates the formation in ipsilateral retinal mapping to both the dorsal lateral geniculate nucleus (dLGN) and the superior colliculus (SC). May be involved in the differentiation of the fibroblast-like cells in the superficial layer of mandibular condylar cartilage into chondrocytes.