Warehouse Overstock Promotion |  Save 10%  on Premium Lab Supplies |  Shop Now

Menu

This product has been added to the cart.

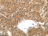
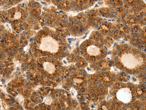
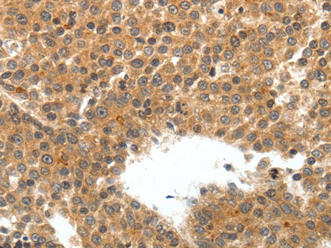
TEK Polyclonal Antibody Store at -20°C

SKU: E-AB-12907-200

  • $ 55995


Request a Quote

TEK Polyclonal Antibody Store at -20°C

 

SKU # E-AB-12907
Reactivity Human, Mouse
Host Rabbit
Applications IHC

 

Product Details

Isotype IgG
Host Rabbit
Reactivity Human, Mouse
Applications IHC
Clonality Polyclonal
Immunogen Synthetic peptide of human TEK
Abbre TEK
Synonyms Angiopoietin 1 receptor,  Angiopoietin-1 receptor,  CD202b,  CD202b antigen,  Endothelial tyrosine kinase,  Endothelium specific receptor tyrosine kinase 2,  Hyk,  Soluble TIE2 variant 1,  Soluble TIE2 variant 2,  TEK tyrosine ,  Tek,  hTIE 2,  hTIE2,  p140 TEK,  tek tyrosine kinase
Swissprot
Cellular Localization Cell membrane. Cell junction. Cell junction, focal adhesion. Cytoplasm, cytoskeleton. Secreted. Recruited to cell-cell contacts in quiescent endothelial cells. Colocalizes with the actin cytoskeleton and at actin stress fibers during cell spreading. Recruited to the lower surface of migrating cells, especially the rear end of the cell. Proteolytic processing gives rise to a soluble extracellular domain that is secreted.
Concentration 0.3 mg/mL
Buffer Phosphate buffered solution, pH 7.4, containing 0.05% stabilizer and 50% glycerol.
Purification Method Affinity purification
Research Areas Cancer,  Cardiovascular,  Developmental Biology,  Signal Transduction,  Stem Cells
Conjugation Unconjugated
Storage Store at -20°C Valid for 12 months. Avoid freeze / thaw cycles.
Shipping The product is shipped with ice pack,upon receipt,store it immediately at the temperature recommended.

 

Related Reagents

Applications Recommended Dilution
IHC 1:50-1:200

 

Background

The TEK receptor tyrosine kinase is expressed almost exclusively in endothelial cells in mice, rats, and humans. This receptor possesses a unique extracellular domain containing 2 immunoglobulin-like loops separated by 3 epidermal growth factor-like repeats that are connected to 3 fibronectin type III-like repeats. The ligand for the receptor is angiopoietin-1. Defects in TEK are associated with inherited venous malformations; the TEK signaling pathway appears to be critical for endothelial cell-smootHuman, Mouseuscle cell communication in venous morphogenesis. TEK is closely related to the TIE receptor tyrosine kinase.