Warehouse Overstock Promotion |  Save 10%  on Premium Lab Supplies |  Shop Now

Menu

This product has been added to the cart.

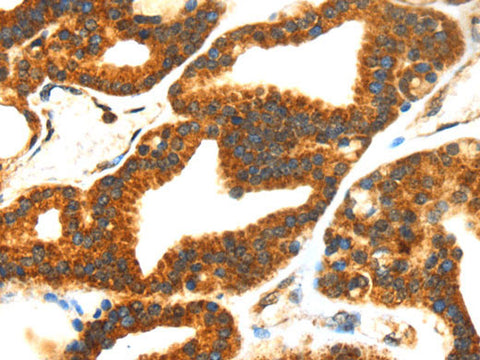
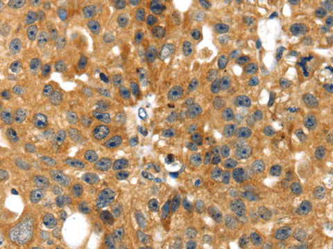
SMYD4 Polyclonal Antibody

SKU: E-AB-11590-200

  • $ 55995


Request a Quote

SMYD4 Polyclonal Antibody

 

SKU # E-AB-11590
Reactivity Human
Host Rabbit
Applications IHC

 

Product Details

Isotype IgG
Host Rabbit
Reactivity Human
Applications IHC
Clonality Polyclonal
Immunogen Recombinant protein of human SMYD4
Abbre SMYD4
Synonyms KIAA1936,  SET and MYND domain containing 4,  SET and MYND domain-containing protein 4,  SMYD4,  ZMYND21
Swissprot
Concentration 0.6 mg/mL
Buffer Phosphate buffered solution, pH 7.4, containing 0.05% stabilizer and 50% glycerol.
Purification Method Affinity purification
Research Areas Cancer
Conjugation Unconjugated
Storage Store at -20°C Valid for 12 months. Avoid freeze / thaw cycles.
Shipping The product is shipped with ice pack,upon receipt,store it immediately at the temperature recommended.

 

Related Reagents

Applications Recommended Dilution
IHC 1:30-1:150

 

Background

SMYD4, also named as SET and MYND domain-containing protein 4, is a 804 amino acid protein, which contains 1 MYND-type zinc finger and 1 SET domain. SMYD4 belongs to the class V-like SAM-binding methyltransferase superfamily. SMYD4, as a potential tumor suppressor, plays a critical role in breast carcinogenesis at least partly through inhibiting the expression of Pdgfr-alpha, and could be a novel target for improving treatment of breast cancer. SMYD4 is a muscle-specific transcriptional modulator involved in development.