Warehouse Overstock Promotion |  Save 10%  on Premium Lab Supplies |  Shop Now

Menu

This product has been added to the cart.

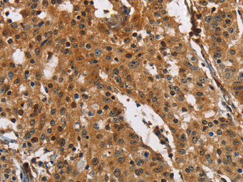
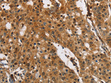
PTK6 Polyclonal Antibody Store at -20°C

SKU: E-AB-11011-200

  • $ 33995


Request a Quote

PTK6 Polyclonal Antibody Store at -20°C

 

SKU # E-AB-11011
Reactivity Human, Mouse
Host Rabbit
Applications IHC

 

Product Details

Isotype IgG
Host Rabbit
Reactivity Human, Mouse
Applications IHC
Clonality Polyclonal
Immunogen Recombinant protein of human PTK6
Abbre PTK6
Synonyms Breast tumor kinase,  Breast tumour kinase,  PTK6,  Protein tyrosine kinase 6,  Protein-tyrosine kinase 6,  Ptk6,  Tyrosine protein kinase BRK,  Tyrosine-protein kinase BRK
Swissprot
Cellular Localization Cytoplasm. Nucleus. Colocalizes with KHDRBS1, KHDRBS2 or KHDRBS3, within the nucleus. In secretory epithelial cells from prostate adenocarcinoma, nuclear localization is higher in low-grade and lower in high-grade regions of the tumors.
Concentration 0.3 mg/mL
Buffer Phosphate buffered solution, pH 7.4, containing 0.05% stabilizer and 50% glycerol.
Purification Method Affinity purification
Research Areas Cancer,  Signal Transduction
Conjugation Unconjugated
Storage Store at -20°C Valid for 12 months. Avoid freeze / thaw cycles.
Shipping The product is shipped with ice pack,upon receipt,store it immediately at the temperature recommended.

 

Related Reagents

Applications Recommended Dilution
IHC 1:50-1:200

 

Background

The protein encoded by this gene is a cytoplasmic nonreceptor protein kinase whicHuman, Mouseay function as an intracellular signal transducer in epithelial tissues. Overexpression of this gene in mammary epithelial cells leads to sensitization of the cells to epidermal growth factor and results in a partially transformed phenotype. Expression of this gene has been detected at low levels in some breast tumors but not in normal breast tissue. The encoded protein has been shown to undergo autophosphorylation. Alternative splicing results in multiple transcript variants.