Warehouse Overstock Promotion |  Save 10%  on Premium Lab Supplies |  Shop Now

Menu

This product has been added to the cart.

NR1D1 Polyclonal Antibody

SKU: E-AB-11449-200

  • $ 55995


Request a Quote

NR1D1 Polyclonal Antibody

 

SKU # E-AB-11449
Reactivity Human, Mouse, Rat
Host Rabbit
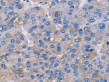
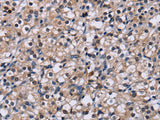
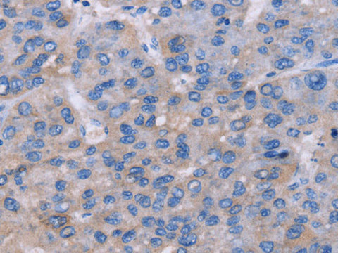
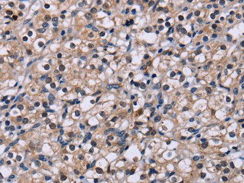
Applications IHC

 

Product Details

Isotype IgG
Host Rabbit
Reactivity Human, Mouse, Rat
Applications IHC
Clonality Polyclonal
Immunogen Recombinant protein of human NR1D1
Abbre NR1D1
Synonyms EAR-1,  EAR1,  ERBA-related 1,  NR1D1,  Nr1d1,  Nuclear receptor Rev ErbA alpha,  Nuclear receptor subfamily 1 group D member 1,  Rev erbAalpha,  Rev erbalpha,  Rev-ErbAalpha,  Rev-erbA-alpha,  Reverba,  THRA1,  THRAL,  Thyroid hormone recept,  Thyroid hormone receptor,  alpha like,  hRev
Swissprot
Cellular Localization Nucleus.
Concentration 0.4 mg/mL
Buffer Phosphate buffered solution, pH 7.4, containing 0.05% stabilizer and 50% glycerol.
Purification Method Affinity purification
Research Areas Cancer,  Epigenetics and Nuclear Signaling,  Neuroscience,  Signal Transduction
Conjugation Unconjugated
Storage Store at -20°C Valid for 12 months. Avoid freeze / thaw cycles.
Shipping The product is shipped with ice pack,upon receipt,store it immediately at the temperature recommended.

 

Related Reagents

Applications Recommended Dilution
IHC  1:50-1:200

 

Background

This gene encodes a transcription factor that is a member of the nuclear receptor subfamily 1.The encoded protein is a ligand-sensitive transcription factor that negatively regulates the expression of core clock proteins.In particular this protein represses the circadian clock transcription factor aryl hydrocarbon receptor nuclear translocator-like protein 1 (ARNTL).This protein may also be involved in regulating genes that function in metabolic, inflammatory and cardiovascular processes.