Warehouse Overstock Promotion |  Save 10%  on Premium Lab Supplies |  Shop Now

Menu

This product has been added to the cart.

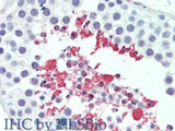
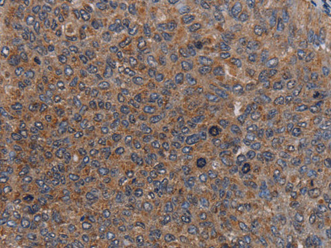
LIPE Polyclonal Antibody Store at -20°C

SKU: E-AB-11314-200

  • $ 55995


Request a Quote

LIPE Polyclonal Antibody Store at -20°C

 

SKU # E-AB-11314
Reactivity Human
Host Rabbit
Applications IHC

 

Product Details

Isotype IgG
Host Rabbit
Reactivity Human
Applications IHC
Clonality Polyclonal
Immunogen Recombinant protein of human LIPE
Abbre LIPE
Synonyms HSL,  LHS
Swissprot
Cellular Localization Cytosol, Plasma Membrane, caveola, Other locations: lipid droplet.
Concentration 0.2 mg/mL
Buffer Phosphate buffered solution, pH 7.4, containing 0.05% stabilizer and 50% glycerol.
Purification Method Affinity purification
Research Areas Cancer,  Cardiovascular,  Metabolism,  Signal Transduction
Conjugation Unconjugated
Storage Store at -20°C Valid for 12 months. Avoid freeze / thaw cycles.
Shipping The product is shipped with ice pack, upon receipt, store it immediately at the temperature recommended.

 

Related Reagents

Applications Recommended Dilution
IHC 1:50-1:200

 

Background

The protein encoded by this gene has a long and a short form, generated by use of alternative translational start codons.The long form is expressed in steroidogenic tissues such as testis, where it converts cholesteryl esters to free cholesterol for steroid hormone production.The short form is expressed in adipose tissue, among others, where it hydrolyzes stored triglycerides to free fatty acids.